首页
相册
音乐
友链
统计
关于
推荐
图床
Search
1
推拿秘書 五卷/駱潛庵著
155 阅读
2
告别恐惧,迎接新生--一文读懂脑动脉瘤
126 阅读
3
黄帝八十一難經疏證 [書写資料]. 卷上,下 / 丹波元胤 學
125 阅读
4
家傳太素脉秘訣 二卷/ 張太素述 ; 劉伯詳註 ; 周文煒梓
123 阅读
5
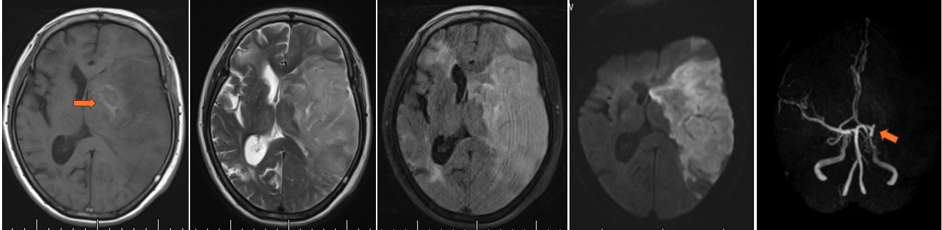
刘x,49岁,突发意识模糊3天
122 阅读
【行医笔记】
【珍本古籍】
【医论妙语】
【科普视频】
【网络资源】
登录
/
注册
Search
标签搜索
中医古籍
珍本古籍
早稻田图书馆
东亚图书馆
珍本善本
周凤梧中药学
刘渡舟
SCI-Hub
蒲辅周
脉诊
基底节对称病变
伤寒论
替奈普酶
静脉溶栓后出血转化
admin
累计撰写
181
篇文章
累计收到
294
条评论
首页
栏目
【行医笔记】
【珍本古籍】
【医论妙语】
【科普视频】
【网络资源】
页面
相册
音乐
友链
统计
关于
推荐
图床
搜索到
60
篇与
的结果
2025-08-24
李x,言语不利伴右侧肢体瘫痪1.5小时
一、病例资料患者李x,老年男性,急性起病;临床表现为突发言语不清伴偏侧肢体活动障碍;既往曾下肢湿疹病史,院外口服药物治疗,具体方案不详;烟酒史约50年;否认高血压、刚冠心病及糖尿病病史;母亲生前有冠心病病史,兄弟姐妹5人,其中一人死于胰腺癌,2人有糖尿病病史;专科查体:T: 35.8℃ P: 80次/分 R: 18次/分 BP:178/86(左)166/72mmHg(右) mmHg, 神志清楚,不完全运动性失语,情感反应可。颅神经查体阴性。颈软,无明显抵抗。右侧肢体肌力5级,左侧肢体肌力1级,双侧肢体感觉查体患者不配合。左侧巴氏征阳性。NIHSS评分:8分(上肢运动3分、下肢运动3分,言语2分),发病前mRs评分:0分,洼田饮水试验:1级,格拉斯哥评分:15分。辅助检查:急查血常规(20250709): 幼稚细胞绝对值 0.14 x 10^9/L ↑,★红细胞计数 4.10 x 10^12/L ↓ 。 急查凝血5项(20250709): D-二聚体 0.46 mg/L(FEU)。 急查肝功能+心肌酶谱+肾功能+急查电解质(20250709): ★白蛋白(溴甲酚绿法) 38.3 ↓ g/L,★丙氨酸氨基转移酶 8 U/L ↓,★天冬氨酸氨基转移酶 12 U/L ↓, ★钠 135 ↓ mmol/L。 心电图:窦性心律 大致正常。二、神经影像头CT(2025-7-9 7:40 急诊):脑内多发脑梗塞;双侧缺血性脱髓鞘改变;老年脑改变;副鼻窦炎症。💊 患者体重60kg,发病处于静脉溶栓窗口期内,经排查无溶栓禁忌症,给予替奈普酶15mg稀释后静脉推注,DNT:40分钟。头DWI(2025-7-9 8:35 本院)序列见右侧侧脑室旁弥散信号异常,ADC序列相应部位呈低信号改变;Flair序列可见侧脑室前角、后角及基底节区可见片状缺血脱髓鞘改变,提示皮层下白质疏松;大脑皮层脑沟变深,侧脑室角变圆钝,符合老年性脑改变。头颈CTA(2025-7-9 9:02 本院):双侧SCA混合板块、中度狭窄;LCCA其实段钙化斑、轻度狭窄;LICA C1段中度狭窄、C4段轻度狭窄;RICA C1 & C4段中度狭窄;LVA V1段中度狭窄、V2~V4段轻度狭窄;LMCA M1&M2段轻度狭窄;LPCA P2段重度狭窄;RPcoA动脉瘤,直径约0.45cm。CTP(2025-7-9 09:02 本院):序列依次为CBF、CBV、MTT、TTP、TMAX,所见双侧大脑半球颜色标记基本对称,未见明显差异。🚸 患者溶栓后肢体肌力改善,可达3+级,结合多模影像检查,患者责任病灶在右侧侧脑室旁,血管定位在脉络膜前动脉,病情进展风险高,暂无介入取栓或桥接指证。🌗 中午患者病情变化,出现烦躁,坐立不安,撤出尿管后症状无缓解,给予地西泮镇静后复查头CT变化!头CT(2025-7-9 13:40 本院)提示右侧颞叶、基底节区、顶叶及额叶高密度影,且破入侧脑室,考虑静脉溶栓后出血转化P2型。⏰ 基于多田公式,粗测出血量>75ml,联系神经外科,建议手术,鉴于颅内存在动脉瘤,风险极高,家属拒绝手术方案。内科启动甘露醇联合利尿剂脱水、氨甲磺酸止血治疗,积极预防及治疗并发症。 动态观测CT变化,颅内出血及水肿情况经历 起病⇢进展⇢高峰⇢消退 动态变化,患者意识由昏迷逐渐转为嗜睡状态。三、临床诊断基底节脑梗死静脉溶栓出血转化PS:纵然国内外几宗大项临床寻证医学研究提示替奈普酶安全性较阿替普酶更优,但临床用药,尤其是高龄人群不容轻视。复盘患者出血原因,考虑如下:{x} 其一,患者76y,老年患者使用溶栓药物本身存在较高出血风险; {x} 其二,患者虽否认高血压病史,但卒中病房发现双上肢血压均偏高,当时血压虽符合溶栓条件,但是否压低血压能否降低溶栓出血转化风险仍存在疑虑; {x} 其三、患者神经影像提示脑白质疏松,这也是老年人出现出血转化危险因素之一。四、心情驿站
2025年08月24日
61 阅读
4 评论
28 点赞
2025-08-06
刘x,被人发现意识不清约2.5小时
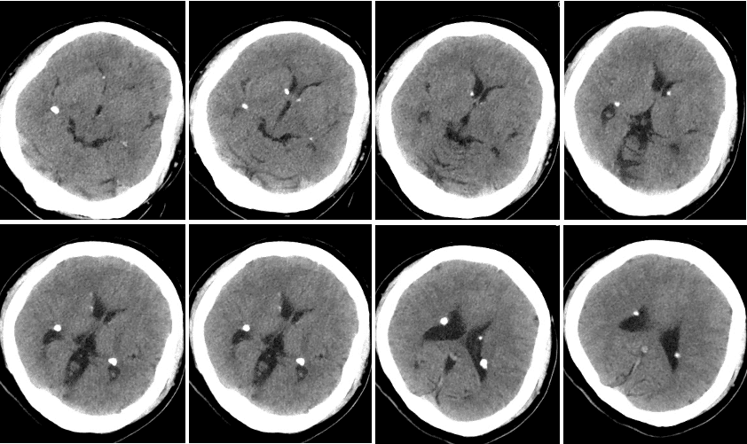
一、病例特点患者男性,75y,急性起病;临床表现为意识不清;既往有高血压及冠状动脉粥样硬化性心脏病病史,院外用药情况不详; 查体:T 38.4℃,P 89次/分,R 18次/分,BP 160/86mmHg,神志不清,浅昏迷状态,认知不能评价。肢体肌力检查不配合,左侧肢体肌张力较右侧偏低。双侧巴宾斯基征阳性,NIHSS评分:18分,格拉斯哥评分:5分,mRs评分:5分,洼田饮水试验:无法完成。辅助检查:ECG:窦性心律,下壁心肌梗死(时期未定),逆钟向转位,V4~V6导联T波低平双向。二、神经影像胸部CT(2025-7-30 本院):双肺见条片状高密度影,右侧胸腔内可见包裹性液体密度影。双侧胸膜增厚,部分钙化。头CT:右侧侧脑室见片状高密度影,脑室内见多发不规则高密度影。双侧大脑半球脑沟内高密度影,额部颅板下见积气影。小脑、右顶叶、双侧额叶、放射冠区、基底节区见半片状低密度影,局部近液体密度影;脑室及脑池系统扩张。双侧脑沟裂增宽、加深,中线结构居中。病情转归 1、入院后联系神经外科,鉴于出血量大,征得家属同意后行颅内出血置管引流术,间断引流血性液体,复查CT提示出血减轻,意识也曾一度清醒,示意肢体 可简单活动; 2、8月3日患者意识成昏迷状态,复查CT提示再次出血,急诊ICU告知病情加重预后不良,家属经商议后放弃治疗。三、初步诊断意识障碍(出血性脑血管病疾病) {x} PS:复盘患者CT情况,颅内出血大部分集中在右侧颞叶,累及中脑环池,且破入侧脑室,考虑患者存在后交通动脉瘤可能性大。
2025年08月06日
69 阅读
4 评论
35 点赞
2025-07-31
为什么留置尿管后,尿液却总顺着尿管旁流出?【转自丁香园】
一、引言 导尿是一种常见的医疗操作,涉及将一导尿管插入膀胱以排空尿液。当导尿管植入体内后,有时可能会遇到尿液从导尿管旁边漏出的情况,这可能会让患者感到困惑和不适,并会增加护理人员的工作量。主要临床表现包括: {x} 尿液从尿道口或导尿管周围不断渗出; {x} 患者可能有尿急、尿频、尿痛等症状; {x} 观察到引流袋中尿液量减少,与患者的尿量不成比例。 二、漏尿原因总结原因分类可能原因处理方法导尿管问题导尿管扭曲、受压、折叠,或尺寸不符合检查导尿管有无受压及扭曲,引流袋位置必须低于膀胱,更换符合尺寸的导尿管膀胱痉挛膀胱过度活跃引起的漏尿使用酒石酸托特罗定等抗胆碱药物导尿管堵塞尿液无法通过导尿管抗生素控制感染尿路感染导致膀胱刺激,产生漏尿抗生素控制感染膀胱功能训练不当内压力过高调整导尿管型号,减少气囊内液体量尿管水囊问题水囊注水量不足或过多,导致漏尿注水时要匀速,防止气囊注水偏多,调整气囊内液体量膀胱逼尿肌收缩亢进导致尿液从导尿管旁漏出654-2口服或肌注,黄体酮肌注等药物缓解膀胱痉挛膀胱顺应性减低逼尿肌纤维化导致膀胱顺应性减低,引起膀胱痉挛调整导尿管型号,减少气囊内液体量膀胱冲洗液不当寒冷季节冲洗液温度过低有,引起膀胱痉挛调节冲洗液温度,使之接近体温 三、处理原则1.检查和调整导尿管:确保导尿管无扭曲、受压,位置适当。2.更换导尿管:如果导尿管尺寸不合适或存在堵塞,应更换导尿管。3.药物治疗:使用抗胆碱药物、解痉药物等控制膀胱痉挛。4.膀胱冲洗:对于导尿管堵塞,可以进行膀胱冲洗或更换尿管。5.控制感染:使用抗生素治疗尿路感染,减少膀胱刺激。6.适当夹闭和开放尿管:进行膀胱功能训练,适当夹闭和开放尿管,避免膀胱过度充盈。7.心理支持:为患者提供心理支持,减轻焦虑和紧张情绪。四、无菌导尿术教学视频{bilibili bvid="BV1ju4y1k7Bu" page=""/}
2025年07月31日
67 阅读
5 评论
37 点赞
2025-07-05
李x,反复发作性意识障碍伴肢体抽搐20余年
一、病例特点1、患者青年男性,慢性反复发作性病程;2、临床表现具有不同发作形式,其一、意识丧失伴肢体抽搐;其二、转颈伴双上肢漫无目的摸索或其它活动;3、查体:神志欠清,言语及认知查体不合作,突出认知障碍。四肢肌力查体不配合,肌张力适中,双侧巴氏征未引出,脑膜刺激征阴性。4、患者父母提供病史,自3岁时发现孩子出现抽搐情况,曾就诊于北京x医院,给予抗癫痫药物治疗,近半年药物不能有效控制病情,一月发作数次;患者形体肥胖,认知障碍突出,智商明显低于同龄人。5、辅助检查:凝血5项:D-二聚体:0.52mg/L,↑;肝肾功能+电解质+心肌酶:γ-谷氨酰转肽酶:108U/L,↑尿酸:446μmol/L,↑钾:3.35mmol/L,↓;血常规正常;血气分析:氧分压:79.3mmHg,↓ 二氧化碳分压:33.4mmHg,↓标准碳酸氢根:23.2mmol/L,↓细胞外液剩余碱:-2.4mmol/L,↓离子钙:1.10mmol/L,↓阴离子间隙:20.3mmol/L,↑ 葡萄糖:5.70mmol/L,↑ 乳酸:2.67mmol/L,↑;心梗二项、BNP、PCT正常;头胸CT:胸部CT平扫未见异常;肝脏、左肾多发低密度灶,肝脏下方含脂肪病变,建议进一步检查;二、神经影像 {x} 头CT(2024-03-28 我院):脑室内见多个结节致密影。三、临床印象{alert type="info"}结节性硬化相关性癫痫{/alert}四、临床诊治 1、调整饮食结构,生酮饮食。适用于各种癫痫类型,尤其是难治性癫痫。生酮饮食可有效地降低结节性硬化相关性癫痫的发作频率,但效果随着时间延长而下降,生酮饮食停止后癫痫会再次发作。 2、改善营养状况,纠正内环境紊乱。机体营养障碍及内环境紊乱是癫痫控制不佳的常见原因,值得大家重视。 3、调整AEDs方案,患者院外抗癫痫方案为:奥卡西平片 0.3g 2次/日,左乙拉西坦片 1.5g2次/日。癫痫发作临床控制不佳,需完善血药浓度检测,结果提示OXC 20.18ug/mL(参考值10~35),LEV 41.71ug/mL(参考值 10~40),化验结果提示血药浓度达到有效水准,无需增大方案剂量! 4、建议在上述方案基础上增加苯巴比妥溴化钠片,患者体型肥胖,给予1片 3次/日,2日后患者癫痫发作得以控制; 5、查阅文献,结节性硬化(TSC)相关性癫痫发病率国外文献竟高达83.6%,且多为难治性癫痫。推荐药物及外科手术治疗,手术治疗需严格把控适应症,费用昂贵。在考虑手术之前药物方案仍为首推治疗方法,具体药性特点及注意事项见下: - ★ 氨己烯酸:是TSC相关性婴儿痉挛和/或局灶性癫痫一线治疗单药及局灶性难治性癫痫的辅助用药。氨已烯酸能够安 全有效地缩短癫痫发作的时间,降低癫痫及婴儿痉挛的发生率和严重程度。氨已烯酸的治疗效 果具有剂量依赖性,高剂量的氨已烯酸能够更有效 地降低婴儿痉挛复发率,长期服用治疗效果会减退。对于单用氨已烯酸治疗效果不理想的患者, 可以联合皮质类固醇或其他抗癫痫药物作为二线治疗方案。氨己烯酸对视网膜存在不可逆的毒副作 用,其发生率会随着治疗时间的延长及药物剂量的 增加而升高,服药期间应该定期行视力视野检查。 - ★ 大麻二酚:主要用于 Lennox-Gastaut 综合征相关的癫痫、Dravet综合征、1 岁及以上TSC患者癫痫的治疗。治疗剂量的大麻二酚能够显著降低 TSC 相关性癫痫尤其是难治性癫痫的发作频率。大麻二酚可升高依维莫司血药浓度,合用时需要定期监测依维莫司血药浓度。腹泻、食欲减退和嗜睡是大麻二酚使用过程中最常见的不良反应。 - ★ 其他经典抗癫痫药物:除氨己烯酸、大麻二酚外,还有一些经典抗癫痫药物如丙戊酸钠、左乙拉 西坦、卡马西平、拉莫三嗪、托吡酯、奥卡西平、拉科 酰胺等也可用于TSC相关性癫痫的治疗。目前研究最多的是布瓦西坦,一种新型的吡咯烷酮衍生物类抗癫痫药,具有更高的SV2A蛋白选择性和结合力、更快的脑组织渗透速度、更低的有效血药浓度、更高的治疗指数及更强的抗癫痫潜力。因其更好的治 疗效果和更低的不良反应发生率,被批准用于4岁及以上局灶性癫痫患者的辅助治疗。 - ★ mTOR抑制剂:依维莫司作为雷帕霉素40-O-2 -(羟乙基) 衍生物是目前研究最多的 mTOR抑制剂,具有更高的血脑屏障穿透性、水溶性、生物利用度和更短的半衰期。依维莫司作为辅助治疗药物能够安全有效地降低TSC相关的难治性癫痫的发作频率。依维莫司的治疗效果具有时间和浓度依赖性停药后癫痫可再次发作。口腔炎、腹泻、鼻咽炎、发热和上呼吸道感染是依维莫司 常见的不良反应,必要时需要及时调整药物剂量并给予对症支持治疗。
2025年07月05日
72 阅读
5 评论
41 点赞
2025-06-21
血钾 > 5.5 mmol/L 诊断高钾?你的知识该更新啦!
一、引言 血清钾水平与临床不良事件发生风险之间呈「U」形曲线关系,之前笔者整理了心衰患者出现低钾血症的机制和治疗方法。血钾 > 5.0 mmol/L 时患者死亡风险显著升高。最新专家共识建议血清钾水平 > 5.0 mmol/L 即诊断为高钾血症,纳入综合管理。高钾血症是心力衰竭的常见并发症,可导致严重的心律失常,甚至危及生命。笔者特此整理心衰患者出现高钾血症的机制和治疗方法,一起学习! 二、病因和发病机制 高钾血症的常见病因多为钾离子产生或摄入过多、排出减少和分布异常。与心力衰竭相关的机制主要有以下几点:RAASi 的应用:血管紧张素转换酶抑制剂(ACEI)和血管紧张素 II 受体阻滞剂(ARB)通过抑制血管紧张素 II 和醛固酮的分泌而引起高钾血症。醛固酮受体拮抗剂则通过阻断醛固酮与其受体的结合减少钾的排出而引起高钾血症。β 受体阻滞剂的应用:β 受体阻滞剂可通过降低 Na⁺-K⁺-ATP 酶的活性来干扰细胞对钾的吸收。此外,β 受体阻滞剂还可以通过阻断交感神经系统对肾素释放的刺激作用而引起高钾血症。心力衰竭的相关合并症:糖尿病或慢性肾脏病可降低机体排泄钾离子的能力,容易引起代谢性酸中毒、电解质紊乱。低钠高钾饮食的摄入:心力衰竭患者饮食指导常推荐富含钾离子的低钠盐,从而增加了高钾血症的发生风险,尤其合并肾功能不全者更易出现。三、高钾血症的分类 分类 血钾 高钾血症 >5.0mmol/L 轻度高钾血症 5.0 ~ 5.5mmol/L 中度高钾血症5.5 ~ 6.0mmol/L 重度高钾血症 ≥6.0mmol/L 四、高钾血症治疗 1、饮食及药物调整 限制钾含量较高的食物摄入,如水果、蔬菜等,减量或停用钾补充剂、RAASi、MRAS 等药物。 2、葡萄糖酸钙 ①静脉使用钙剂可作为高钟血症的急诊一线处理。推荐10%葡萄糖酸钙10mL稀释后缓慢静脉推注,作用时间可持续约 60min, 可重复给药一次。 ② 留置中心静脉导管的患者,也可选择 10% 氣化钙5~10mL经中心静脉给药。 ③对于接受洋地黄类制剂的心力衰蝎患者,可用10% 葡萄糖酸钙 10mL加入5% 葡萄糖溶液100 mL缓慢静脉滴注,以避免高钙血症及继发的心脏损伤。 3、促进钾离子向细胞内转移 ①葡萄糖+ 胰岛素:通常一次性给予胰岛素10u,随后立即给予50%葡萄糖溶液50mL静脉推注;血糖高于13.9mmol/L时,可仅予胰岛素治疗。 ②碳酸氢钠:通常予碳酸氢钠 150 ~250mL缓慢静脉滴注,效果可持续约2h,仅推荐用于液体负荷控制达标且合井严重代谢性酸中毒的心力衰竭患者。 4、促进K离子排泄 利尿剂:主要包括袢利尿剂(如味塞米、托拉塞米等)和噻嗪类利尿剂(如氢氯噻嗪)。使用利尿剂的前提是肾功能储备良好,无血容量不足,注意长期用药导致的不良反应。 5、阳离子交换树脂 主要包括聚茶乙烯磺酸钠(SPS)、聚苯乙烯磺酸钙(CPS),主要在结肠起作用,口服给药后起效较慢。 ①SPS 用法:口服一次15~ 30g,一日1~2次,连用2~3d;灌肠1次30g,一日1~2次,连用3~7d。为避免药物的相互作用,口服SPS 前后 3h 内不得服用其他药物。 ②CPS 用法:口服每日 15~30g,分2~3次服用。服药前后 3h 内不得服用其他药物。 6、新型钾离子结合剂 环硅酸锆钠是一种无机的、不可吸收的硅酸锆聚合物,口服后通过结合胃肠道内的钟离子来促进其排泄。使用方法纠正阶段:推荐起始剂量10g,3次/d,持续48h;维持阶段:达到正常血钟水平后,建议起始 5g,次/d,按需调整剂量 7、血液净化 血液透析适用于血钟持续>6mmol/L或心电因存在异常,肾功能极差、反复发作高钾血症且药物治疗效果差的患者,尤其适用于同对合井水负荷过重的心力衰竭患者。 五、高钾血症治疗流程图
2025年06月21日
78 阅读
5 评论
43 点赞
2025-03-24
一表总结:七种升血小板药物适应症及区别(转自丁香园)
一、引言血小板减少症是多种疾病的主要临床表现或常⻅并发症,但目前对血小板减少症的发病机制、病因诊断、治疗指征、治疗方案制定等方面仍缺乏足够深入和系统的认识。血小板减少一般多⻅于以下疾病:特发性血小板减少性紫癜,肝素诱导的血小板减少症,肿瘤化疗相关性血小板减少症,血栓性血小板减少性紫癜,MDS,巨幼细胞性贫血,再障等。本文主要总结各种升血小板药物的适应症以及区别。二、何为学血小板减少?首先,血小板减少症定义是指外周血象中血小板计数<100×109/L 的情况。PLT<50×109/L 时,即存在皮肤黏膜出血倾向的危险性; PLT<20×109/L 时,有皮肤黏膜自发性出血的高度危险性; PLT<10×109/L 时,则有皮肤黏膜出血的极高度危险性。其次,血小板数量减少是出血性疾病最常⻅的病因。单纯血小板减少症的病因,可分为血小板生成减少、血小板破坏增加和血小板分布异常三大类。三、相关药物特点药品名适应症用法主要副作用禁忌症注意事项白介素-11用于实体瘤、非髓性白血病化疗后III、IV度血小板减少症的治疗25-50ug/kg体重,于化疗结束后24-48小时开始或发生血小板减少症后皮下注射,每日一次,疗程一般7-14天水肿,发热;心律失常,房颤及房扑;呼吸费力,皮瘆,乏力等重组人IL-11及本品中其,它成分过敏者。不宜在化疗前或化疔过程中使用;在血小板升至100×10°儿时应及时停药;尤其充血性心衰及房颤、房扑病史的患者慎用;使用期间应注意毛细血管渗漏综合征的监测。重组人血小板生成素实体瘤化疗后所致的血小板减少症,特发性血小板减少性紫癜 (ITP)的辅助治疗。CIT:化疗药结束后6~24小时皮下注射本品,剂量为每日每公斤体重300U,每日一次,连续应用14天。ITP:剂量为每日每公斤体重300U,每日一次,连续应用14天。发热、肌肉酸痛、头晕。对本品成份过敏者;严重心、脑血管疾病者;患有其它血液高凝状疾病者,近期发生血栓病者;合并严重感染者,宜控制感染后再使用本品。CIT使用需要化疗结束后6~24小时开始使用;本品对造血细胞表面的TPO受体的刺激可能会增加恶性血液病的发生风险。本品不用于治疗脊髓发育不良综合征(MDS)或者其他原因引起的血小板减少症。艾曲泊帕乙醇胺片特发性血小板减少症药品说明书推荐初始剂量为每天一次,每次25mg;对中度或严重肝功能不全患者,建议剂量隔天1次,每次25mg,均需饭前服用(饭前1小时或餐后2小时)疲劳,头痛恶心,腹泻,肌肉痛,感觉异常,皮疹暂无起始剂量是50mg每天1次;对东方人患者或中度或严重肝功能不全患者,起始剂量为25mg每天1次。空胃给药(餐前1小时或2小时)。和其它药物、食物或多价阳离子(如,铁、钙、铝,镁、硒,和锌)添加剂间允许间隔4小时。为减低出血风险调整每夭剂量至达到和维持血小板计数250 ×10°/。每天剂量不要超过75mg。罗米司亭(国内末上市)免疫性血小板减少性紫癜的二线治疗初始剂量1ug/kg每周1次皮下注射关节痛、眩晕失眠、肌肉痛、腹痛、消化不良、和感觉异常,头痛是最常见暂无可能增加血小板计数至产生血栓形成/栓塞并发症;可能增加血液学恶性病的风险、尤其是有骨髓增生异常综合征患者。氨肽素片原发性血小板減少性紫癜、再生障碍性贫血口服,一次5片,一日3次暂无报道暂无暂无利可君片用于预防、治疗白血球减少症及血小板减少流20mg tid 口服暂无报道过敏者禁用急、慢性髓细胞白血病患者慎用咖啡酸片用于各种原因引起的白细胞减少,血小板减少症,外科手术时预防出血或者止血每次0.1-0.38g,1天3次,14日一疗程暂无报道。暂无暂无四、心情驿站日暮里-- 李飘飘... 按部就班的黑夜 运转倒退的日月 日暮下你的侧脸 小心翼翼划界限 扰乱了我平和的世界 不敢让你太了解 真实的我太多不完美 ......
2025年03月24日
82 阅读
3 评论
35 点赞
2025-01-06
张x,76y,被人发现意识不清3天,加重20小时
一、病例特点患者张x,老年女性,急性病程;临床表现为突发意识障碍,发病环境有燃煤气味;既往脑梗死病史20余年,遗留言语欠清,右手活动欠灵活,院外口服药物不详。高血压病史10余年,血压最高状况不详,降压方案子女未能提供。查体:T:36.3℃ P:75次/分 R呼吸:18次/分 BP血压:130/90mmHg 昏睡-浅昏迷状,疼痛刺激可睁眼,查体不配合,两侧瞳孔等大等圆,直径约3mm,光反射存在。四肢肌力肌张力查体不配合,四肢腱反射对称正常引出,右侧巴氏征阳性,余查体不配合。NIHSS评分:20分,GCS评分6分,mRS评分:5分。辅助检查:辅助检查:头CT(2025-1-10 肃宁县人民医院 CT号:00320016):左侧额颞顶叶脑梗死;脑白质稀疏、脑萎缩;双侧上颌窦、筛窦炎;胸部CT(2025-1-10 肃宁县人民医院 Ct号:00320016):右肺上叶肺大泡,右肺下叶膨胀不良;左肺下叶粟粒结节,考虑慢性炎性肉芽肿可能。颈部血管超声:颈动脉内膜中层增厚伴斑块形成;左侧颈内动脉起始段斑块形成致管腔狭窄70-99%;颈内静脉未见明显异常。心脏超声:主动脉瓣返流(轻度),左室舒张功能减低。双下肢静脉超声:未见明显异常。凝血(2025-1-09 肃宁县人民医院):PT、INR、APTT、FIB及TT均在正常范围。快速血气分析(2025-1-09 肃宁县人民医院):FCOHb 21.5%↑,Glu 9.0mmol/L; 生化:ALP 39U/L,ALB 38.9g/L,Cr 97umol/L,UA 391umol/L。二、神经影像头MR回报(2025-1-13 影像序列上图已标注):左侧大脑半球急性脑梗塞,基底节区T1高信号,建议CT检查除外出血;左侧侧脑室受压变窄,中线结构右偏;颅内多发梗塞灶,部分软化灶形成;双侧脑白质缺血脱髓鞘改变。左侧大脑中动脉闭塞;双侧大脑前动脉、右侧大脑中动脉、双侧大脑后动脉多发狭窄。 头CT(2025-1-18):左侧大脑半球脑梗死;左侧侧脑室受压,中线结构稍右侧移位;颅内多发脑梗死、缺血灶,部分软化灶。三、临床印象1、急性大面积脑梗死(左侧大脑中动脉闭塞) 2、一氧化碳中毒性脑病不除外 PS后记:一线接手病人,第一印象考虑一氧化碳中毒性脑病诊断,脑海中闪现高压氧舱治疗方案。随着神经影像检查深入,颅内大面积病灶分布区与LMCA相符,且患者意识状态改变与皮层及皮层下损伤、颅内压增高导致中线移位均有直接关系。至于,CO中毒因素权重放在末位。按照急性脑血管病联合脱水治疗,患者意识状态改善。目前上肢肌力在疼痛刺激下可达2级,下肢肌力约2+级,理解力有所恢复,但言语表达尚需时间。四、心情驿站生活败给无知的理想--司徒兰芳 要不是为了碎银奔忙 谁愿意把泥土藏进行囊 漂泊流浪换不回想要的风光 却被生活压断了肩膀 要不是为了父母安康 谁愿意把故乡当他乡 大醉了一场 解不开心中惆怅 却让现实教训了一场 生活败给无知的理想
2025年01月06日
72 阅读
1 评论
27 点赞
2024-12-25
郭x,发热、头痛1周,反应迟钝、记忆力减退5天
一、病例特点患者青年女性,急性病程;临床表现为感染后认知功能减退,伴癫痫反复发作;既往史:患者2022年孕检时彩超发现“右侧卵巢肿物”,同年于沧州市人民医院(颐和妇产)行“剖宫产术+右侧卵巢囊肿剥除术”,病理结果提示为成熟型囊性畸胎瘤。查体:神清,精神欠佳,表情淡漠,言语尚流利,简单对答准确,记忆力下降,定向力、计算力可(MMSE评分23分)。颅神经查体阴性,颈软,无抵抗,Kernig Sign,Brudzinski Sign阴性。双侧肢体痛温觉对称存在,深感觉未见异常,四肢肌力5级,四肢肌张力正常,四肢腱反射(2+),闭目难立征阴性,双侧病理征阴性,共济运动尚可。辅助检查:血液化验结果: 甲功六项:★游离甲状腺素:25.10pmol/L,↑; 呼吸道病原体谱:抗流感病毒A型抗体IgM:阳性(+)。 TORCH十项:抗巨细胞病毒抗体IgG >1000 ↑ AU/mL,抗风疹病毒抗体IgG 71.25 ↑ IU/mL。 抗核抗体谱: 抗核抗体 阳性(+)颗粒型1:100; 女性肿瘤筛查: 胃泌素释放肽前体 20.20 ↓ pg/mL。腰椎穿刺术后脑脊液化验: 脑脊液常规: 无色透明,潘氏试验(-) ,细胞总数 112x10^6/L,有核细胞 27x10^6/L,红细胞 85x10^6/L,单个核细胞(MN) 91 %,非单个核细胞(PMN)9 %。脑脊液生化: 脑脊液蛋白0.13 ↓g/L,余项正常。 墨汁染色、抗酸染色结果阴性。 脑脊液免疫球蛋白未见明显异常。血液&脑脊液免疫Mark(外检)结果: 自身免疫性脑炎自身抗体谱28项(血清):NMDAR(N-甲基-D-天冬氨酸受体)抗体IgG:阳性1:32+。 自身免疫性脑炎自身抗体谱28项(脑脊液):阳性10+ 。 TBA筛查(血清):小脑阳性,海马阳性,大脑皮层阳性。 TBA筛查(脑脊液):小脑阳性,海马阳性,大脑皮层阳性。二、神经影像头MR(序列依次为T1、T2、Flair、DWI、MRA)未见异常,隔日复查MR强化,亦未见颅内异常强化灶。 仔细阅片,中脑层面右侧海马组织信号稍有增高腹腔CT平扫 可见子宫右侧可见团块状混杂密度影,其内可见多发类圆形高密度影聚集,病灶范围约为5.4×3.5cm。阑尾增粗,其内可见高密度影。建议完善MR强化检查。腹腔MR增强 :右侧附件区见多发大小不等稍短T1长、短T2信号影,边界清晰,增强扫描分隔样强化,最大截面大小约为3.2cm×4.9cm。子宫前壁凹陷,子宫前壁结合带增厚,左侧附件区形态及信号可。子宫内膜未见明显增厚,膀胱充盈可,壁不厚。双侧髂血管内侧见条状软组织影,增强扫描同静脉强化方式基本一致。盆腔内见液体信号影。右侧附件区占位,考虑为 巧克力囊肿 。三、临床诊断NMDAR介导的自身免疫性脑炎 PS病情转归:住院期间给予激素、静注人免疫球蛋白、抗癫痫&抗精神、营养支持、改善精神症状等综合治疗,患者癫痫得以控制,认知障碍部分改善,尚存一些行为异常。四、心情驿站
2024年12月25日
106 阅读
2 评论
24 点赞
2024-12-20
耳石症手法复位,让不老实的石头归队!(转自Dxy.cn)
一、引言 耳石症 又称为良性阵发性位置性眩晕,是指头部迅速运动至某一特定头位时出现的短暂阵发性发作的眩晕和眼震。正常情况下耳石是附着于耳石膜上的,当一些致病因素导致耳石脱离,这些脱落的耳石就会在内耳内被称作为内淋巴的液体里游动,当人体头位变化时,沉伏的耳石就会随着液体的流动而运动,从而刺激半规管毛细胞,导致机体发生强烈性眩晕。耳石症的主要症状包括眩晕、眼震、恶心、呕吐等。治疗方法主要有耳石复位法,这种方法一般可使眩晕和眼震得到缓解。本篇详解耳石症常见眼震定位以及手法复位,希望对小伙伴们有所帮助!二、耳石症半规管定位根据受累部位将 BPPV 分为前半规管型、后半规管型和水平半规管型,由于前者少见,今天主要鉴别后两型的 BPPV 与 CPPV。分类诊断试验及特点后半规管BPPVDix-Hallpike诱发向上旋转型眼震,先渐强再渐弱,一般小于1min;会有疲劳感。向地性水平半规管BPPVR&L仰卧旋转试验诱发向地性(朝向地板)眼震,几乎不可能是中枢性的。离地性水平半规管BPPVR&L仰卧旋转试验诱发离地性(朝向天空)眼震,有时可为中枢性眩晕,需要影像检查。中枢性位置性眩晕CPPVRDix-Hallpike试验诱发下跳性眼震,常无潜伏期和疲劳性,一般考虑中枢性原因,耳石复位治疗无效。三、手法复位详解1、后半规管 BPPV 手法复位A 患者坐检查床上,将头向患侧转45度,头后仰10~20度; B 迅速将患者往下压至平躺,持续 20~30秒; C 头向非患侧转90度,持续20~30秒; D 身体向非患者转90度,同时头迅速向非患侧转90度,持续20~30秒; E 保持上述头和身体角度,让患者坐起,持续 20~30秒。2、向地性水平半规管 BPPV A 向非患侧躺下,保持2分钟; B 将头部往地面转,保持2分钟; C 直接坐起来,回到直立位。3、离地性水平半规管 BPPV A 向患侧躺下,保持 2 分钟; B 将头部往上转,保持 2 分钟; C 直接坐起来,回到直立位。四、耳石症手法复位视频{bilibili bvid="BV1Z5ikBzEHX" page=""/}PS后记:如果您或身边的人出现了类似症状,建议及时就医,以便进行准确的诊断和治疗。
2024年12月20日
91 阅读
2 评论
20 点赞
2024-11-30
何x,反应迟钝10天,不语3天
一、病例特点患者男性,68y,急性起病;临床表现为进行性反应迟钝伴失语、进食困难及小便失禁;专科查体:神志欠清,混合性失语,反应迟钝,言语交流困难。颈软无抵抗,布氏征、柯氏征阴性。示意肢体可抬举,四肢腱反射(++),双侧Babinski sign(-)。肢体感觉及共济查体欠合作。既往史:发现脑梗死、脑动脉狭窄数年,未规范用药。半月前突发认知障碍,发病环境有炭火情形,血气分析提示碳氧血红蛋白显著升高,支持一氧化碳中毒诊断,给予低流量吸氧、脱水、激素、清除氧自由基及脑保护等治疗,病情缓解出院。同期,发现患者心肌损伤伴心律失常,超声提示心肌致密化不全及二尖瓣、三尖瓣反流、血液环境紊乱,治疗一氧化碳中毒后上述异常指标均有明显改善,恢复近正常水平。辅助检查: 碳氧血红蛋白 (2024-10-21):17.5%(参考范围 0.2~1.5),生化指标异常见下表:项目10月2210月2411月1日11月25备注丙氨酸氨基转移酶(U/L)60372420参考范围(9-50)天冬氨酸氨基转移酶(U/L)1561113442参考范围(15-40)乳酸脱氢酶(U/L)403484279212参考范围(120-250)a-羟丁酸脱氢酶(U/L)318455240178参考范围(72-182)肌酸激酶(U/L)1028174426823参考范围(50-310)肌酸激酶-同工酶(U/L)158822017参考范围(0-24)尿素(mmol/L)10.119.5810.9711.2参考范围(3.6-9.5)肝肾功能+心肌酶+电解质:尿素 42U/L;CRP 17.2umol/L;凝血5项:0.64mg/L;心梗二项:肌红蛋白正常,肌钙蛋白28.67pg/mL;BNP:1125.02pg/mL;血常规:WBC 3.02x10^9/L,NEU# 1.75x10^9/L;(2024年11月份下旬)二、神经影像头MR(2024-10-20)左侧放射冠区可见小片状DWI高信号影,ADC信号减低。双侧侧脑室旁可见斑片状T2W及T2Flair稍高信号影,边界模糊。双侧放射冠区、额叶及底结区、脑干、双侧小脑半球多发小片状T2W及T2Fliar高信号影,T1W呈稍低信号。 【影像诊断】 :左侧放射冠区急性脑梗死;双侧脑白质脱髓鞘改变;颅内多发腔隙性脑梗死、缺血灶;双侧筛窦炎、上颌窦炎。头DWI+MRI(2024-11-25):头DWI可见右侧底结区点状高信号影,ADC歼敌。双侧大脑半球白质区见斑片状高信号影。【影像诊断】:右侧基底节区急性脑梗塞;颅内多发缺血灶、脑梗塞;双侧大脑半球异常信号影,请结合临床。双侧乳突炎。三、临床印象迟发性脑病 Tips:参照迟发性脑病相关指南,继续给予高压氧舱、依达拉奉右坎醇浓溶液、丁苯酞氯化钠液、甲泼尼龙、注射用比拉西坦等治疗,患者理解力有所改善,偶可清晰言语交流。四、心情驿站
2024年11月30日
101 阅读
3 评论
19 点赞
1
2
...
6