首页
相册
音乐
友链
统计
关于
推荐
图床
Search
1
推拿秘書 五卷/駱潛庵著
155 阅读
2
告别恐惧,迎接新生--一文读懂脑动脉瘤
126 阅读
3
黄帝八十一難經疏證 [書写資料]. 卷上,下 / 丹波元胤 學
125 阅读
4
家傳太素脉秘訣 二卷/ 張太素述 ; 劉伯詳註 ; 周文煒梓
123 阅读
5
刘x,49岁,突发意识模糊3天
122 阅读
【行医笔记】
【珍本古籍】
【医论妙语】
【科普视频】
【网络资源】
登录
/
注册
Search
标签搜索
中医古籍
珍本古籍
早稻田图书馆
东亚图书馆
珍本善本
周凤梧中药学
刘渡舟
SCI-Hub
蒲辅周
脉诊
基底节对称病变
伤寒论
替奈普酶
静脉溶栓后出血转化
admin
累计撰写
181
篇文章
累计收到
294
条评论
首页
栏目
【行医笔记】
【珍本古籍】
【医论妙语】
【科普视频】
【网络资源】
页面
相册
音乐
友链
统计
关于
推荐
图床
搜索到
60
篇与
的结果
2024-11-27
神内医生指南:如何玩转免疫抑制剂
近数十年来,神经免疫性疾病领域取得了许多重要进展,抗体介导疾病、累及中枢和外周神经系统免疫性疾病的认识逐渐加深,同时免疫抑制剂在神经系统疾病中的应用也越来越广泛。然而,免疫抑制剂的使用可导致诸多全身系统并发症和不良反应,需引起重视。 近期 Semin Neurol 发表一篇综述详细阐述了神经免疫性疾病治疗过程中应用免疫抑制剂带来的那些感染性和非感染性并发症,并指导临床工作中应如何有效、安全地使用这些免疫抑制剂及预防并发症的发生。一、感染性不良反应 免疫抑制剂治疗可增加原发性感染和潜伏感染的重新激活,潜伏感染包括机会性感染,如卡氏肺孢子菌、乙肝病毒、丙肝病毒、结核菌、带状疱疹病毒及 HIV 感染。在此,我们回顾下筛选和预防上述病原体感染的方法。1. 卡氏肺孢子菌肺炎 卡氏肺孢子菌肺炎(PJP)是一种潜在的、可威胁生命的真菌感染,主要累及免疫功能低下人群。应用免疫抑制剂是 PJP 发生的危险因素之一;强的松治疗剂量大于 20mg/d,持续时间≥8 周可增加 PJP 发生风险;使用糖皮质激素(GC)及联合使用环磷酰胺(CYC)或其他免疫抑制剂的患者,其 PJP 发生风险更高;此外,某些特定的免疫疾病类型,如 Wegener 肉芽肿(GPA)也会增加 PJP 发生风险。 选择合适药物对预防 PJP 发生至关重要。目前虽缺少循证医学指南,但所有接受强效免疫抑制剂治疗的患者(包括接受多种免疫抑制剂治疗、接受剂量 >20mg/d 强的松治疗 1 个月以上、采用 CYC 治疗的患者)均应考虑给予预防性治疗 PJP;也有学者推荐淋巴细胞减少或 GPA 患者需接受预防性治疗。 预防性治疗的首选药物为复方甲氧苄胺嘧啶(160mg)/ 磺胺甲恶唑(800mg),一周三次或每天一次;其还可覆盖其他病原体感染,比如诺卡氏菌和李斯特菌等。对上述药物过敏的患者,可选择氨苯砜(100mg)或阿托伐醌(1500mg/d)。需要注意的是在开始氨苯砜治疗前,需检测患者葡萄糖 -6- 磷酸脱氢酶(G6PD)水平,G6PD 缺陷患者禁用氨苯砜。2. 乙肝病毒感染 乙肝病毒(HBV)感染患者使用免疫抑制剂治疗可加重病情或重新激活病毒,因此所有患者在开始免疫抑制剂治疗前均应完善乙肝病毒筛查。不同感染状态患者其风险有所不同(见表 1)。对所有既往感染或慢性感染的患者其筛查内容必须包括:肝功能、HBsAg、HBcIgM 和 IgG 抗体、HBsAb、 HBV DNA 病毒载量。表 1. 乙肝病毒感染血清学标志物与相关风险HBsAgHBc抗体HBs抗体解释重新激活的风险++(IgM)±急性感染N/A++-慢性感染中度-高度风险:除了短期(数天)使用GC治疗外-+±既往感染低风险:除了RTX、TNF-a抑制剂以及GC联合其他免疫抑制剂治疗--±既往感染或疫苗接种如果是寄望感染,风险极低;如果是疫苗接种,无风险 HBV 进展或重新激活风险取决于使用何种免疫抑制剂治疗:在接受 CD20 抗体(如利妥昔单抗 RTX)和 TNF-α抑制剂的患者其风险显著增加;而使用糖皮质激素治疗患者风险相对较低;接受霉酚酸酯(MMF)、甲氨喋呤(MTX)及咪唑硫嘌呤(AZA)治疗的患者 HBV 重新激活风险较低。对于上述高危患者应严密监测,或预防性给予恩替卡韦、替诺福韦或拉米夫定治疗。 HBV 或 HCV 急性或慢性感染患者应禁用 MTX,因其具有肝毒性。急性或慢性 HBV 感染患者应转诊至肝脏病学专家或感染专家处就诊。最安全的预防方法即在暴露前接种 HBV 疫苗,这也适用于免疫功能低下的患者。3. 丙肝病毒感染 所有接受长期免疫抑制剂治疗的患者均推荐行丙肝病毒(HCV)筛查,且最好采用 HCV 血清学检查。目前文献显示 Child 分级 A 级的肝脏病变患者可谨慎使用 RTX 和 TNF-α抑制剂;而 CYC、MMF、AZA 等的安全性尚不清楚。免疫疾病患者使用干扰素α(IFN-α)为主的 HCV 治疗方案需小心,其可能导致更多的自身免疫性疾病发生。4. 结核病潜伏感染 结核病潜伏感染是结核分枝杆菌的持续性、无症状性感染,采用免疫抑制剂治疗会激活潜伏的结核杆菌(TB)。接受抗 TNF-α药物治疗的患者其激活率最高,接受 RTX 治疗的患者最低。指南推荐在开始任何免疫抑制剂治疗之前都需行 TB 筛查。其他激活 TB 的危险因素包括:可增强免疫抑制作用的内科疾病(糖尿病等)、与结核病患者密切接触、疫区居住史及工作或生活在医院附近等。 结核病筛查试验包括:结核菌素皮肤试验(TST)以及干扰素γ释放试验(IGRAs),后者更为敏感,且不会受到卡介苗接种的影响。但两种方法的敏感性均有限,故专家推荐对所有高危人群均应采用这两者方法筛查。两种筛查试验均阳性的患者需行胸部 X 线检查明确是否有活动性结核。确保没有活动性结核后,在开始免疫抑制剂治疗前还需对潜伏结核菌感染进行治疗。5. 水痘带状疱疹病毒感染 水痘带状疱疹是潜伏在三叉神经背根神经节内的水痘-带状疱疹病毒(VZV)激活所致。激活VZV的主要因素包括免疫功能低下及使用免疫抑制剂。当准备开始免疫抑制剂治疗前2-4周,所有超过60岁的患者均应给予减毒活疫苗,50-59 岁水痘病史阳性患者可考虑给予减毒疫苗治疗。此外,免疫治疗顾问委员会(ACIP)及美国风湿病协会(ACR)均建议对使用低剂量免疫抑制剂且超过 60 岁的患者采用疫苗治疗,包括小剂量短期糖皮质激素治疗、低剂量 MTX 或 AZA 治疗。6. HIV感染 HIV 感染可导致固有免疫和获得免疫功能受损,诱导自身免疫性疾病的发生。近期疾病控制中心(CDC)指南推荐所有就诊患者和所有自身免疫性疾病患者均需行 HIV 筛查,尤其是在开始免疫抑制剂治疗之前。尽管指南不推荐 HIV 患者使用免疫抑制剂,近期研究显示这些患者使用免疫抑制剂是安全有效的。7. 进行性多灶性白质脑病 进行性多灶性白质脑病(PML)通常在免疫功能低下患者中出现,由于潜伏感染的 JC 病毒激活所致,血清中检测出 JC 病毒抗体即可确诊。在采用糖皮质激素、CYC、AZA、MTX、MMF、英夫利昔单抗、RTX 以及合并多种免疫抑制剂治疗的患者中均可发生 PML,尤其是多发性硬化治疗药物那他珠单抗治疗后 PML 发生率更高。 研究已明确那他珠单抗治疗后出现 PML 的危险因素,包括 JC 病毒血清学阳性、免疫抑制剂使用史及那他珠单抗治疗时间。接受任何免疫抑制剂治疗患者出现无法解释的亚急性神经系统症状时需考虑到 PML 的可能,完善 MRI、脑脊液检查及 JC 病毒 PCR 分析等进一步明确。8. 地方性流行病感染 类圆线虫病是由寄生虫类圆线虫感染所致,通常在热带和亚热带地区出现,其可在人体内潜伏十余年。免疫功能低下患者感染可无症状,但如果在体内播散则会出现败血症性休克。所有来自疫区,比如美国西南地区的患者在开始免疫抑制剂治疗前需进行类圆线虫检测。服用伊佛霉素可根除类圆线虫,一次 200μg/kg,连续服用两天;或隔两周服用一次,共服两次。 锥虫病是由克氏锥虫所致,主要在美国中部和南部流行。免疫抑制剂可导致该病复发,并出现心肌炎、脑膜脑炎等表现。9. 预防性免疫治疗 指南推荐对自身免疫性疾病患者进行疫苗接种以预防流感及肺炎球菌感染。近期指南建议联合采用两种肺炎球菌疫苗,包括蛋白结合物(PCV13)以及多糖形式疫苗(PPSV23)。接种时间为:开始或接受免疫抑制剂治疗前 2 周及停止药物治疗后 3 个月。但采用 RTX 治疗是个例外,患者需要在治疗前至少 4 周就接种疫苗,在停止治疗后 2-6 个月内再次接种。给予免疫抑制剂治疗人群减毒活疫苗是有争议的,因疫苗里的感染性病原体可能致病。二、非感染性不良反应1. 糖皮质激素导致的骨质疏松 超生理剂量的糖皮质激素治疗会通过诱导成骨细胞凋亡、抑制骨骼形成、促使骨溶解等方式导致骨质疏松。糖皮质激素导致的骨质疏松(GIOP)不同于其他原因导致的骨质疏松,这些患者中椎骨骨折的发生率高于髋骨骨折。在开始任何剂量糖皮质激素长期治疗(≥3 个月)前,应检测患者血压、血脂、快速血糖及 25-OH-D3 水平,超过 40 岁的患者,还应行骨密度测定;所有患者均应调整生活方式,包括戒烟限酒、规律锻炼等。长期治疗患者还应给予钙和维生素 D3 补充剂。 接受低剂量或短期 GC 治疗的患者可根据危险分层来明确是否需接受药物治疗(表 2)。双膦酸盐化合物应作为 GIOP 预防的一线药物;但育龄期女性的治疗尚无一致共识。间断接受 GC 治疗患者也没有 GIOP 预防性指南。每月接受 4 次及以上静脉大剂量治疗或口服大剂量治疗 12 个月的患者可考虑给予双磷酸盐治疗。表 2. 糖皮质激素诱导的骨质疏松预防和治疗推荐 2. 糖皮质激素诱导的骨坏死 据估计因 GC 治疗导致的非创伤性骨坏死发生率高达 38%,股骨头、膝关节及肱骨头是最常见的受累部位。长期 GC 治疗或短期大剂量治疗均会导致骨坏死发生风险增高。采用 GC 治疗的患者如出现持续性关节疼痛或活动受限,需考虑骨坏死的可能。骨坏死的治疗包括限制 GC 药物使用及转诊至专科医生处行下一步评估和治疗。3. 糖皮质激素和上消化道并发症 GC 使用可导致胃炎、溃疡以及上消化道出血等并发症发生风险增加,合用其他抗炎药、既往消化道溃疡病史及强的松总剂量超过 1000mg 或治疗时间超过 3 个月均可导致风险升高。对于这些高危患者,需给予质子泵抑制剂预防性治疗。此外,高龄和伴消化道炎性病变的患者也应预防性用药。4. TNF-α抑制剂和脱髓鞘疾病 研究表明抗 TNF-α治疗与脱髓鞘或其他白质病变相关,既往多发性硬化(MS)和视神经炎病史患者应禁用,MS 家族史患者应慎用。接受 TNF-α抑制剂治疗的患者如出现提示脱髓鞘的症状或体征时,应立即停用,并行进一步评估。5. 恶性肿瘤 一些免疫抑制剂的使用可增加恶性肿瘤发生风险,也许 CYC 是最常见的致癌性药物,其可能导致膀胱癌、皮肤癌、造血系统肿瘤及其他实体肿瘤的发生,其中膀胱癌最为常见。减少膀胱毒性的重要措施为充分补液及治疗剂量低于 30mg,静脉输注 CYC 治疗其毒性作用略低。而且 CYC 停药之后数年膀胱癌以及其他恶性肿瘤发生风险仍可持续存在。 CYC 治疗人群行膀胱癌筛查包括:每隔 3-6 个月行尿常规检查以筛查血尿,出现非肾小球性血尿患者应进一步行膀胱镜检排除膀胱癌;初次评估阴性的患者,3 年内每隔 6-12 个月均应复查尿常规和尿细胞学检查。 目前文献显示 TNF-α抑制剂治疗可增加黑色素瘤发生风险,因此推荐定期行皮肤学检查。咪唑硫嘌呤可能增加癌症发生风险,尤其是淋巴瘤,肾移植或类风湿关节炎患者发生风险最高。6. 环磷酰胺和性腺毒性 已知 CYC 具有性腺毒性,可能导致女性卵巢早衰、影响男性精子形成、减少睾酮分泌、导致永久性不育症。所有育龄期并有生育需求的女性在进行 CYC 治疗前应咨询内分泌医生,并进行评估。CYC 治疗期间采用性腺抑制疗法或可降低卵巢早衰风险;男性性腺功能低下可给予肌肉注射睾酮治疗。实验室筛查及监测 推荐所有患者在开始免疫抑制剂治疗之前均完善基础实验室检查,包括 HIV、潜伏 TB、病毒性肝炎、全血细胞、血肌酐及肝功能检测等。在 AZA 治疗前,还应检测 5- 巯基嘌呤 - 甲基转移酶(TPMT),该酶可使 AZA 失活。其他常规检测指标应根据各种药物的毒性作用而定(见表 3)。药物额外筛查及基线评估监测指标糖皮质激素体重、血压、快速血糖、血清钾、血脂、眼科学评估、25-OH-D3、基线骨密度体重/学院/快速血糖、血清钾、血脂、眼科学评估、每12隔越检查一次骨密度CD20抗体-利妥昔单抗(RTX)无输注时监测生命体征,每2-4个月监测全血细胞TNF-a抗体:英夫利西单抗等脱髓鞘疾病史、心衰输注时监测生命体征,每个6个月以上监测全血细胞及肝功能环磷酰胺-CYC尿常规静脉治疗后7/10/14/27-28天或口服治疗后,每2周查一次全血细胞、肝功能咪唑硫嘌呤-AZATPMT基因型在调整剂量时,每1-2周查一次,然后每4-12周查一次全血细胞、肝功能甲氨蝶呤-MTXX胸片前12周每2-4周查一次,然后每8-12周查一次全血细胞,每8周查一次肝功能酶酚酯酸-MMF无前12周每1-2周查一次,然后每6-8周查一次:全血细胞、尿素氮/肌酐、肝功能、血压静脉免疫球蛋白治疗-IvIg心脏病病史、心衰、血栓栓塞、肾脏疾病、尿素氮/肌酐输注时监测生命体征:在治疗前10天内监测尿素氮/肌酐 骨髓抑制作用是所有免疫抑制剂均可发生的不良反应,尤其是 CYC、MTX、AZA 以及 MMF 等,应常规监测全血细胞水平。免疫抑制剂肾毒性并不是很常见,但对于接受 CYC、MTX 及 MMF 的患者需定期监测。MTX、TNF-α抑制剂以及 MMF 可能存在潜在肝毒性,需定期检查肝酶水平。 其他筛查:MTX 具有肺毒性,通常表现为过敏性肺炎,因此在开始使用前推荐进行基线胸片检查;此外,如果出现肉芽肿样改变提示可能存在潜伏 TB 感染。静脉免疫球蛋白治疗 尽管通常认为静脉免疫球蛋白(IVIg)治疗是安全的,但过敏反应、迟发性血栓栓塞事件及急性肾衰是最大的隐患。其他少见的迟发性不良反应包括各种形式的神经毒性、皮肤毒性、造血系统毒性;此外输注容量超负荷也会加重心衰。IgA 缺乏患者可能出现 IgA 抗体,应输注去 IgA 的球蛋白,并提前给予抗过敏药物,NSAID 以及抗组胺类药物有助于缓解轻度不良反应。 考虑给予患者 IVIg 治疗时,应评估其出现迟发性不良反应风险,尤其是年龄、合并症、使用肾毒性药物、既往肾脏病史及心血管危险因素等。心衰风险高的患者应密切监测血流动力学变化。所有患者在输注前,均应评估肾功能,包括尿量、血尿素氮及血肌酐水平。三、总结 每种免疫抑制剂都有其独特的安全性特征。在开始免疫抑制剂治疗前需要充分评估其风险和获益,并给予合适的预防措施,治疗期间和治疗后均行严密监测。目前还需要开展相应的临床研究以评估免疫抑制剂使用风险和不良反应,以及预防措施的有效性;并建立风险分层评估体系,开发新的生物标志物指导个体化评估。
2024年11月27日
97 阅读
3 评论
16 点赞
2024-11-06
祁x,40y,进行性行走困难伴平衡障碍2年
一、病例特点患者祁x,男性,慢性进展性病程;临床表现为缓慢进展性行走困难,伴躯体平衡障碍;查体:神清,轻度认知和语言障碍,肌张力增高,双侧深部腱反射活跃,巴宾斯基反射和踝关节阵挛阳性。双侧跟腱卵形大小、坚硬、光滑且无痛的肿块。既往史:2年前突发下肢无力和右踝关节后部疼痛肿胀而被误诊为“右下肢丹毒”,治疗后症状有所改善。个人史及家族史:他发育正常,无新生儿黄疸、白内障或婴儿腹泻病史。他读完了小学、初中。他的父母是非血缘关系,没有明显的家族史。实验室检查显示没有异常,包括肝肾功能、血清电解质、甘油三酯和胆固醇水平。脑电图检查显示由 θ 波和 δ 波组成的缓慢背景活动,偶尔伴有高压活动。基因检测分析提示: CYP27A1 突变!二、神经影像右踝侧X光显示,远端胫骨和跟腱区域的跟骨处有一个明显的延长软组织肿块(箭头)矢状T1加权(重复时间毫秒/回声时间毫秒,805/11)中线MRI影像显示跟腱的梭状增大,该腱前缘凸出(箭头),与肌肉等强度。远端胫腓关节水平的轴向中等加权(1800/15)共振图像显示跟腱(白色箭头)弥漫性肿大,肌腱与肌肉等强度,内夹有低信号强度肌腱束(黑色箭头)。桥脑水平的轴向T2加权(3000/86)磁共振图像显示,齿状核(白色箭头)和周围深小脑白质(黑色箭头)均有斑驳的高强度。小脑萎缩也可见。小脑水平的轴向T2加权FLAIR(8400/114)磁共振图像显示深部小脑白质的低强度(箭头)。轴向扩散加权(8400/114,b = 1000秒/毫米) 2)共振成像和(b)通过小脑水平获得的对应表观扩散系数图显示,深部小脑白质的扩散率增加(箭头)。三、临床印象脑腱黄瘤病四、干预及转归患者接受鹅去氧胆酸治疗,250mg,每天3次。迄今为止,患者的跟腱双侧黄瘤已开始减轻,他的神经功能障碍没有进一步恶化,但尚未改善。Tips 心情驿站
2024年11月06日
92 阅读
0 评论
18 点赞
2024-10-23
吕x,左耳闷堵感伴言语不清2天
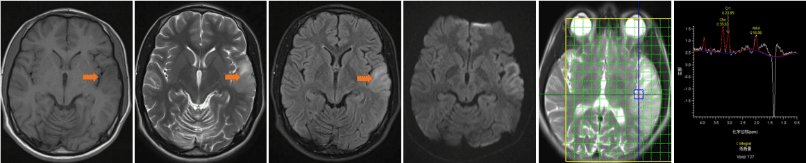
一、病例特点患者男性,15岁,急性起病;临床表现为左耳闷堵感伴言语不清;专科查体:言语欠清,左耳听力略有减退;辅助化验检查:电测听+声阻抗:耳电测听示:右耳:RAC:10-10-10-10-10-15-15dB,左耳:LAC:10-10-10-15-15-15-15dB。血常规:★红细胞计数:4.12×10^12/L,↓;★血红蛋白量:120g/L,↓; ★红细胞比积:0.360,↓; 生化:★肌酸激酶:1368U/L,↑;肌酸激酶-MB亚型:26U/L,↑; ★尿酸:455μmol/L,↑; 二氧化碳:20mmol/L,↓; 载脂蛋白B:0.56g/L,↓;同型半胱氨酸:17.6μmol/L,↑; 感染八项:★抗乙型肝炎病毒表面抗体:>1000mIU/mL,↑;TORCH十项:抗风疹病毒抗体IgG:46.01IU/mL,↑; 脑脊液蛋白:0.51g/L,↑;二、神经影像头MRI(2024-09-20):左颞叶异常信号,炎性病变?建议增强MRI,请结合临床定期随诊;MRS提示左颞叶病变:行体素H-MRS(TR=1500ms,TE=135ms),谱线的分辨力、基线及信噪比较好。1.34ppm左右可见明显倒置乳酸峰;2.02ppm处见下降的NAA峰(NAA/Cr < 1);3.20ppm胆碱峰(CHo)上升(CHo/Cr > 1),考虑缺血及神经元损伤改变,结合临床提示炎症。三、临床印象左侧颞叶病灶性质待查病毒性脑炎可能线粒体脑病不除外PS:线粒体疾病基因已送外检,结果需3周左右时间。住院期间给予抗病毒、激素免疫调节及丁苯酞氯化钠注射液稳定线粒体功能等治疗,病情已有所改善。临床最终诊断需结合神经影像复查、基因检测而定!Tips 心情驿站
2024年10月23日
75 阅读
1 评论
18 点赞
2024-09-27
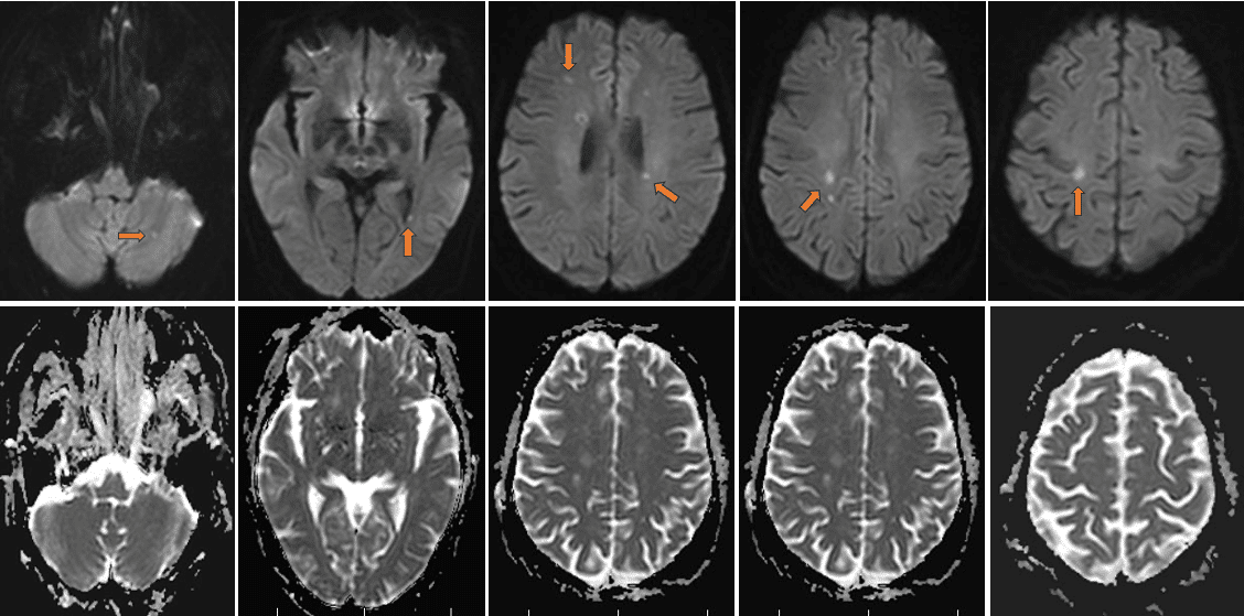
刘x,49岁,突发意识模糊3天
一、病例特点:患者中年男性,急性发病;临床表现为意识水平下降伴认知减退、情感异常、吞咽障碍及二便失禁;既往曾行股骨头置换术,留有左下肢活动欠灵活;吸烟史30年,平均约20支/日,已戒烟1周;饮酒史30年,平均约半斤/日,已戒1周。专科查体:意识模糊,言语稍笨拙,双双眼左视时可见水平粗大眼震,双眼外展均受限,右侧肢体肌力Ⅲ+级,右侧巴氏征阳性,脑膜刺激征阴性,余查体不配合。辅助检查: 肝肾功能+电解质 :总蛋白:63.9g/L,↓;白蛋白(溴甲酚绿法):30.1g/L,↓; 白球比:0.9,↓; 丙氨酸氨基转移酶:113U/L,↑;天冬氨酸氨基转移酶:178U/L,↑;钠:133mmol/L,↓; 氯:98.0mmol/L,↓; 镁:0.74mmol/L,↓; 血常规 :白细胞计数:3.39×10^9/L,↓;红细胞计数:2.81×10^12/L,↓; 血红蛋白量:110g/L,↓; 红细胞比积:0.310,↓;平均红细胞体积:111.4fL,↑; 平均红细胞血红蛋白量:39.10pg,↑; 红细胞分布宽度SD:56.7fL,↑;血小板计数:93×10^9/L,↓维生素B12:>1476pmol/L,↑; 叶酸:5.07nmol/L,↓; 贫血六项:铁蛋白:>2000μg/L,↑;转铁蛋白:1.97g/L,↓; 血清总铁结合力:42.40μmol/L,↓; 铁:8.8μmol/L,↓。二、神经影像头MR(2024-3-17) :双侧丘脑及双侧额叶皮层见多发对称性长T1长T2信号,FLAIR像为高信号,DWI上病变呈高信号影,ADC上病变呈等信号影。 影像结果:双侧丘脑及双侧额叶皮层对称性异常信号,建议进一步检查。 头MRS(2024-3-26):2.02ppmNAA 峰正常(NAA/Cr<1),3.20ppm胆碱峰(Cho)轻度上升(Cho/Cr>1),2.4ppm谷氨酸复合物峰(β,γ-Glx)、3.05ppm肌酸峰(Cr)、3.90ppmCr的第二峰均可明显分辨,未见明显异常。综合表现为:Cho/Cr上升。MRS示双侧丘脑病变区Cho/Cr轻度上升,请结合临床。三、临床诊断:Wernick 脑病Tips 心情驿站
2024年09月27日
122 阅读
1 评论
17 点赞
2024-08-21
靳x,言语不清伴肢体无力3天
一、病例特点:患者靳x,女,急性起病;临床表现为言语不清伴肢体无力;既往有高血压、糖尿病病史;半年前发现左侧肺门、下肺占位,穿刺病理提示小细胞神经内分泌癌,给予依托泊苷联合顺铂化疗;查体:神志清楚,非流利性语言,简单对答尚切题;颅神经检查未见异常。双下肢肌力4级,肌张力略低。辅助检查:急查血常规(20240731): ★红细胞计数 3.02x10^12/L↓,★血红蛋白量 104↓g/L,★红细胞比积0.320↓,平均红细胞体积 105.6↑fL,平均红细胞血红蛋白量34.40↑pg;生化全项(20240731): ★尿酸 437↑μmol/L,★葡萄糖7.23↑mmol/L,★总胆固醇 6.01↑mmol/L,★甘油三酯 1.97↑mmol/L,★低密度脂蛋白胆固醇4.33↑mmol/L;肺癌标志物(20240731): 神经元特异烯醇化酶 19.10↑ng/mL;二、神经影像:上图为头MRDWI、ADC序列(2024-8-2 本院)可见左侧小脑、左侧脑室后角旁、双侧侧脑室周围白质、右侧放射冠区及右侧额叶弥散信号异常,信号高低不一,提示病灶形成时间不同;ADC序列相应部位或不明显、抑或成低信号。三、临床印象特鲁索综合症(Trousseau syndrome) PS:特鲁索综合症(Trousseau syndrome)是一种副肿瘤综合征,主要表现为恶性肿瘤相关的神经系统病变。在特鲁索综合症发生的情况下,恶性肿瘤会激活患者体内的凝血系统,从而造成系统性血栓和脑梗死。临床以处理基础病及抗凝治疗为主!Tips 心情驿站
2024年08月21日
117 阅读
1 评论
13 点赞
2024-08-08
宋x,慢性进展性双下肢无力伴肌肉萎缩3年
一、病例特点患者中年男性,47y,慢性进展性病程;既往2型糖尿病病史20余年,目前降糖方案为二甲双胍缓释片联合门冬胰岛素50注射液,血糖控制欠佳;冠心病病史6年,曾于当地医院行支架置入质量,术后服用拜阿斯匹林肠溶片100mg qd、阿托伐他汀钙片20mg qn,病情控制尚可,日常活动无胸闷、憋气及胸痛表现;查体:神清语利,情感反应可,认知功能正常。颅神经查体未见异常,双手呈“爪形”,背伸困难,双手手指针刺觉减退,伴见骨间肌萎缩;双膝偏粗大,双小腿肌容积减少,呈“鹤腿”形态,双足背伸困难,行走呈跨域步态,未见高足弓表现,双足趾可见色素沉着。辅助检查:糖化血红蛋白 9.1%;TC 6.05mmol/L,TG2.99mmol/L,LDL 4.39mmol/L;UA 473umol/L;头MRI:颅内梗死灶;MRA未见异常;颈椎MRI:C3-7椎间盘突出,骨质增生。胸部CT:双肺多发膜玻璃小结节,建议定期复查。家族史:其 奶奶 及 父亲 成年后也有类似疾病出现!二、神经影像双手呈“爪形手”,手背部肌容积减少,骨间肌萎缩明显,左侧为重!上两段视频为患者下地行走不太,呈典型跨域步态,躯体平衡障碍较为突出!三、临床印象腓骨肌萎缩症(CMT)病人系我院内分泌科住院病人,联系我看协助会诊,考虑CMT,建议完善相关基因筛查,有助于指导家庭后代优选。Tips 心情驿站
2024年08月08日
76 阅读
1 评论
16 点赞
2024-07-12
李x,突发头痛、言语不利伴右侧肢体活动障碍1小时
一、病例特点患者女性,36y,急性起病;临床表现为头痛、言语不利伴右侧肢体活动无力;查体:神志清楚,非流利性语言,右侧肢体肌力2级,肌张力减低;既往体健;二、神经影像右上图为神经外科手术剥离出来的颈动脉蹼组织,呈白或黄色,质地较韧,图片来源于首都医科大学宣武医院!三、临床印象颈动脉蹼颈动脉蹼(carotid web)是一种起源于颈动脉球部后壁、突出于腔内的薄层蹼状内膜纤维结构;目前,认为颈动脉蹼系非常见肌纤维发育不良。Tips心情驿站
2024年07月12日
66 阅读
1 评论
18 点赞
2024-07-03
杜x,颈背部疼痛9月,双上肢麻木伴无力8月
一、病例特点患者青年女性,21y,慢性病程;临床表现为颈背部疼痛,双上肢无力伴感觉障碍;既往有肠易激综合征病史9年,痔疮病史6月;查体:神清语利,认知功能正常;颅神经功能正常;双上肢近端肌力5级,远端4-级,肱二头肌、肱三头肌、桡骨骨膜及膝腱反射(+++),双侧Babinski Sign(-)。辅助检查:颈髓+增强:C6、T2-T3水平髓内多发异常信号;头MRI未见明显异常。二、神经影像颈髓&胸髓MRI+增强(2018-1-15首都医科大学宣武医院):颈椎曲度变直;C2-6椎体水平龍内异常信号影,考虑轻度中央管扩张;T3椎体水平信号异常,考虑中央管扩张可能。三、临床印象脊髓空洞症Tips 心情驿站
2024年07月03日
61 阅读
1 评论
18 点赞
2024-06-21
周x,发热、精神偏差伴头晕、呕吐5天
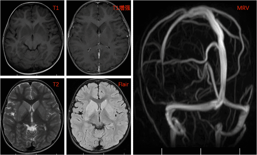
一、病例特点患儿男性,5岁,急性发病;临床表现为发热、精神偏差伴头晕、呕吐;查体:神清语利,精神欠佳,对答尚切题。颅神经查体阴性,颈抵抗阳性。口唇、皮肤干燥,咽充血,双侧扁桃体II度肿大,无脓性分泌物,双肺呼吸音粗,未闻及干湿性啰音,左侧巴氏征阳性。辅助检查:脑电图(2024-06-03 献县中医院):各导散见稍多低中幅4-6Hzθ波及活动,另可见θ节律短程出现,结论:异常儿童脑电图。腰椎穿刺术:脑脊液常规回报颜色:无色,; 透明度:透明,; 潘氏试验:阴性(-),; 细胞总数:29×10^6/L,;有核细胞:22×10^6/L,; 红细胞:7×10^6/L,; 单个核细胞(MN):95.4%,;非单个核细胞(PMN):4.6%;脑脊液生化:脑脊液蛋白:0.25g/L,正常; 脑脊液氯:131.3mmol/L,↑;脑脊液葡萄糖:4.05mmol/L,正常。 脑脊液特殊染色(墨汁、抗酸)阴性。二、神经影像头MR+MRA+MRV:左侧顶叶斑点状异常信号灶,请结合临床;双侧尾状核头、豆状核对称性异常信号,增强后未见强化表现,请结合临床;双侧筛窦及上颌窦炎;双侧大脑前、后动脉交通动脉开放;左侧横窦局限性充盈缺损;请结合临床,必要时进一步检查。三、临床印象病毒性脑炎 PS:此例患者系儿科住院病人,基底节灰质对称性信号异常根据其病形式可见于多种病因,病毒感染、静脉系统疾病、肿瘤、渗透性脱髓鞘、中毒及代谢异常、缺氧等等。患者临床象有一定感染色彩,其它化验检查尚不完备,故专科暂考虑 病毒性脑炎 诊断!Tips 心情驿站
2024年06月21日
58 阅读
2 评论
13 点赞
2024-06-08
张x,右下肢肿胀10余年
一、病例特点患者中年男性,慢性病程;临床表现为单侧下肢异常肿胀,影响活动;既往有高血压病史多年,院外规范服用降压药物,血压控制尚可;否认冠心病病史;查体:神清语利,认知功能正常;双上肢及左下肢肌力5级,肌张力正常;右下肢连及踝、足背部肿胀明显,触之皮疹无改变,右膝周围可见迂曲静脉,伴有曲张;患者年轻时曾到过南方,当地有丝虫病流行;二、影像资料三、临床印象丝虫病(象皮肿)Tips心情驿站听类似的音乐走在花坛边,看着细雨蒙蒙,笼罩着大地,与绿植相遇,与小路相融,顿时暖意融融。很暖的风弦,很清澈的雨调,点点滴滴唤醒复苏的回忆,你记得那个绵绵的傍晚吗?不知为何,灵感恰如此曲,好熟悉,好温暖!人生在世,又有谁意!
2024年06月08日
49 阅读
1 评论
16 点赞
1
2
3
...
6