一、病例特点
- 患者男性,75y,急性起病;
- 临床表现为意识不清;
- 既往有高血压及冠状动脉粥样硬化性心脏病病史,院外用药情况不详;
- 查体:T 38.4℃,P 89次/分,R 18次/分,BP 160/86mmHg,神志不清,浅昏迷状态,认知不能评价。肢体肌力检查不配合,左侧肢体肌张力较右侧偏低。双侧巴宾斯基征阳性,NIHSS评分:18分,格拉斯哥评分:5分,mRs评分:5分,洼田饮水试验:无法完成。
- 辅助检查:ECG:窦性心律,下壁心肌梗死(时期未定),逆钟向转位,V4~V6导联T波低平双向。
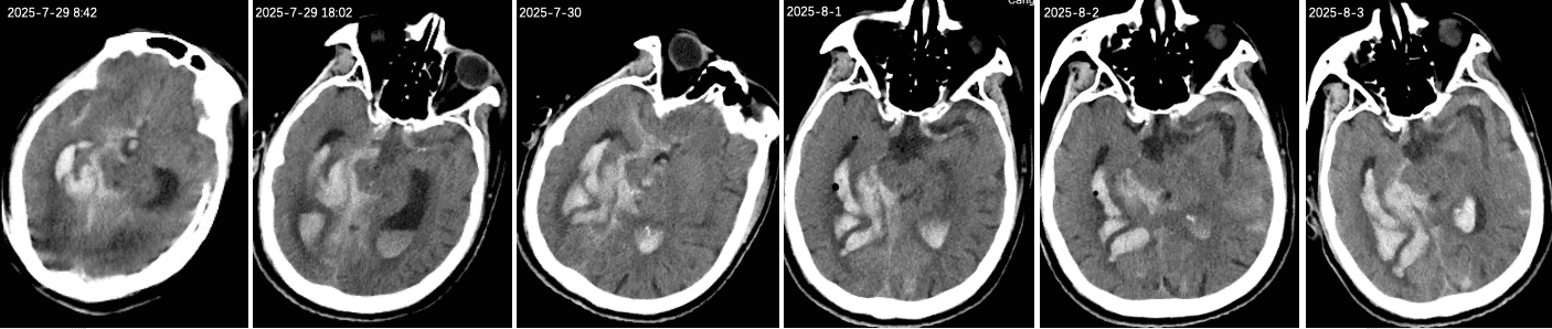
二、神经影像

胸部CT(2025-7-30 本院):双肺见条片状高密度影,右侧胸腔内可见包裹性液体密度影。双侧胸膜增厚,部分钙化。
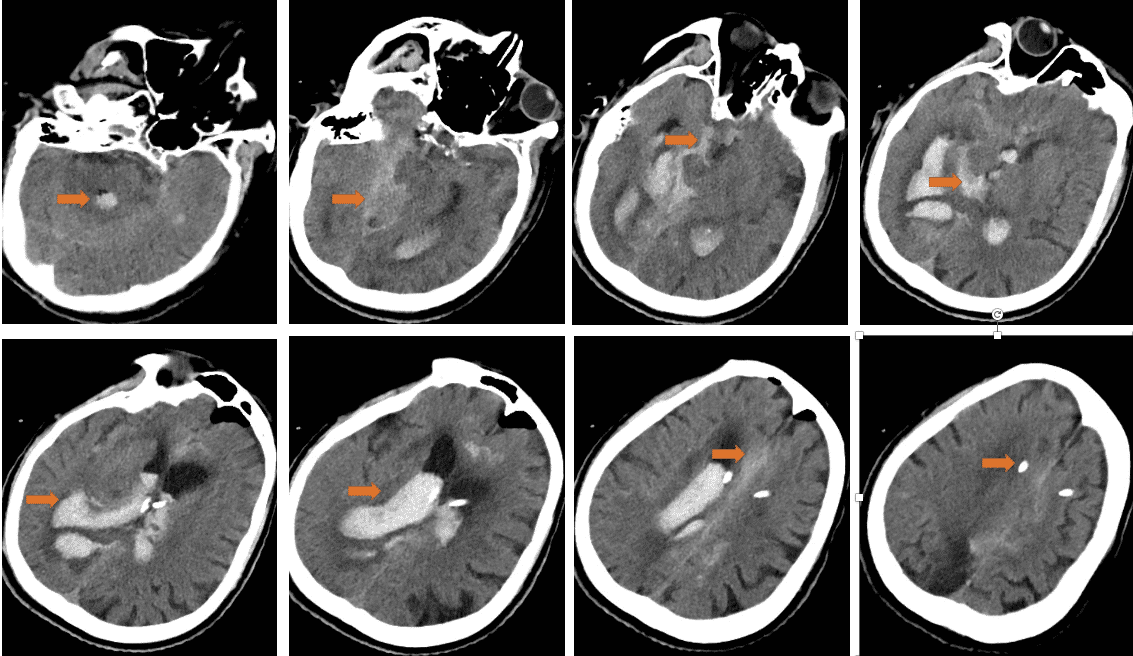
头CT:右侧侧脑室见片状高密度影,脑室内见多发不规则高密度影。双侧大脑半球脑沟内高密度影,额部颅板下见积气影。小脑、右顶叶、双侧额叶、放射冠区、基底节区见半片状低密度影,局部近液体密度影;脑室及脑池系统扩张。双侧脑沟裂增宽、加深,中线结构居中。
病情转归
1、入院后联系神经外科,鉴于出血量大,征得家属同意后行颅内出血置管引流术,间断引流血性液体,复查CT提示出血减轻,意识也曾一度清醒,示意肢体
可简单活动;
2、8月3日患者意识成昏迷状态,复查CT提示再次出血,急诊ICU告知病情加重预后不良,家属经商议后放弃治疗。三、初步诊断
意识障碍(出血性脑血管病疾病)
PS:复盘患者CT情况,颅内出血大部分集中在右侧颞叶,累及中脑环池,且破入侧脑室,考虑患者存在后交通动脉瘤可能性大。
这么大出血量,后续治疗费用比较多,大部分家庭承受不住就放弃了
从神经影像来看,感觉动脉瘤可能性大
客观来讲,专业体检还是有意义的,只是许多人又没这个意识
医生当久了,经历太多生死离别,突然觉得安慰反而应该是对病人家属最应该做的事