一、引言
徐老师已经将神经科常见的头颅 CT 征象做了精彩的总结和分享,很多读者表示了对「手绘影像」的喜欢。本期,徐老师带来了头颅 MR 手绘精华版~
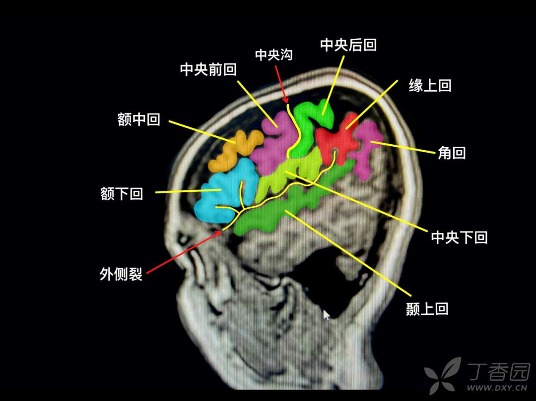
神经专业,要求「定位和定性」,先定位,后定性。与 CT 相比,颅脑 MR 可以更多、更清晰的呈现脑组织的解剖结构,神经专业的医生如何在颅脑 MR 的断层成像上去定位?
要么,你有「超级大脑」可以一层层的去记忆,「太难了」!那你也许会喜欢基于 「keypoint」的阅片方法,比如「苹果」外形、「Ω 征」、「M 征」等。本篇精华版 essay 希望给大家带来不一样的 MR 阅片技巧。
二、头MR断层手绘图谱

核磁图谱真漂亮,感谢原作者
神经内科存在很多“征”,有助于帮助大家记忆!