一、病例特点
- 患者老年男性,急性起病;
- 临床表现为发热,伴咳嗽、咳痰,体温最高达38.6℃,痰白质粘,精神欠佳,肢体乏力、食欲减退;
- 既往有脑梗死、高血压及糖尿病病史;
- 查体:神志模糊,问之不语,查体欠合作,双肺呼吸音粗,双肺可闻及散在痰鸣音。
- 辅助检查:血常规:★白细胞计数:11.77×10^9/L,↑; 中性粒细胞百分比:79.10%,↑;中性粒细胞绝对值:9.31×10^9/L,↑; 单核细胞绝对值:1.05×10^9/L,↑;心梗二项:肌钙蛋白T:0.090ng/ml,↑; 肌红蛋白:486.0ng/ml,↑↑;N端-B型钠尿肽前体:2328pg/ml,↑。肝肾功+电解质+心肌酶+CRP+SAA:★总蛋白:55.2g/L,↓;★白蛋白(溴甲酚绿法):18.7g/L,↓; ★丙氨酸氨基转移酶:55U/L,↑; ★天冬氨酸氨基转移酶:66U/L,↑;总胆汁酸:18.00μmol/L,↑; ★乳酸脱氢酶:434U/L,↑; α-羟丁酸脱氢酶:277U/L,↑;★尿素:11.71mmol/L,↑; ★肌酐(酶法):200μmol/L,↑; ★钾:2.77mmol/L,↓↓;超敏C反应蛋白:126.6mg/L,↑; 血清淀粉样蛋白A:650.3mg/L,↑。
- 新型冠状病毒核酸及咽拭子检测均呈阳性。
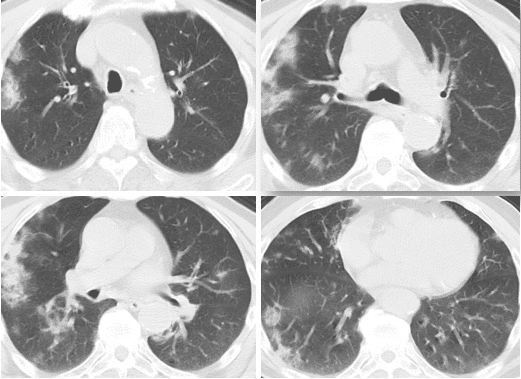
二、影像检查

初次胸部CT提示双侧肺野可见多发团、片状高密度影,结合COVID-19检测情况,支持新型冠状病毒性肺炎诊断。
三、临床印象
新型冠状病毒性肺炎
Ps:患者住院治疗给予激素、小分子抗病毒、雾化排痰等综合治疗,病情仍持续进展,最终死于呼吸衰竭、急性心脏骤停。高龄人群和免疫低下病人是COVID-19感染重灾区,临床诊疗务必谨慎!
Tips:心情驿站
惊听绝塞琵琶万里弹 惆怅深宫独对一灯冷 塞北雁南飞 红袖去不还 落花满阶红 月照胡地冷 思往事 难忘童女声色春风面 风姿绰约...
评论 (0)