一、病例特点
- 患者中年男性,急性发病;
- 临床表现为言语不利伴左侧肢体瘫痪;
- 既往有糖尿病、脑梗死及心律失常 心房纤颤病史;
- 查体:T:38.0℃ P:78次/分 R呼吸:17次/分 BP血压:134/82 mmHg
神志清楚,精神欠佳,构音欠清,对答切题。颅神经查体未见异常。左侧肢体在疼痛刺激下存在躲避反应,不能自主活动,肌力0级,肌张力减低,左侧巴氏征阳性。NIHSS评分:7分;格拉斯哥评分:15分;洼田饮水试验:2级,mRs:3分。
二、神经影像

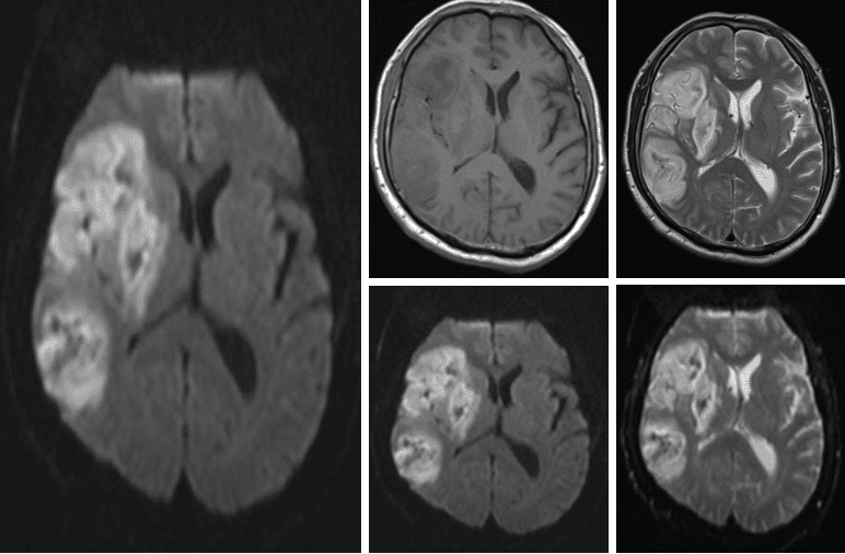
头MR(2023-09-16)示右侧额颞、放射冠区基底节区混杂信号,请结合CT或SWI检查。

头颈CTA(2023-09-16)示右侧颈内动脉C1段管壁混合斑块,管腔轻度狭窄;右侧大脑前动脉A2段管腔非钙化斑块,管腔轻度狭窄。

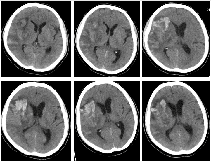
动态复查头CT(2023-09-16 ~ 2023-10-12)可见右侧半球大面积梗死区域由条状密度影(梗死后出血转化1型)逐渐转变为较局限片或块状高密度影(梗死后出血转化2型),其后可见逐步吸收转归变化。
三、临床印象
右侧半球大面积脑梗死伴梗死后出血转化
四、后记
初次CT检查已发现右侧半球大片状低密度,监护提示阵发性房颤,鉴于抗凝治疗更高的出血风险,给予小剂量抗血小板治疗(ASP 100mg> Qd),数日后患者出现头痛及嗜睡状态,动态复查CT提示出血转化加重,遂停用抗血小板治疗,临时给予氨基己酸止血及甘露醇脱水处理。随后,梗死区域内血肿逐渐吸收,意识水平正常、头痛缓解,好转出院。3月内动态观察病情变化,出院3月后考虑启动抗凝治疗。
评论 (0)