一、病例特点
- 患者中年男性,急性发病;
- 临床表现为发作性肢体抽搐伴意识障碍,上肢屈曲、下肢伸直,近日突发言语混乱;
- 发现高血压病病史10年,血压最高达180/?mmHg,平素口服利血平片、吲达帕胺片治疗,血压维持在150/100mmHg;
- 查体:BP血压:165/100 mmHg,意识模糊,表情淡漠,言语流利,可配合简单查体,时有言语混乱,认知功能稍差,双侧针刺觉、音叉震动觉不配合。四肢肌力5级,肌张力适中,腱反射(++),双侧巴氏征(+),脑膜刺激征(-),共济及闭目难立征不配合。
- 辅助检查:头颅核磁示左侧枕叶侧脑室旁亚急性期脑梗死(2017-05-07,沧州市中心医院)
二、神经影像

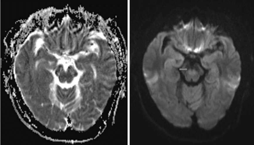
头MR(2017-05-09 依次为ADC、DWI序列)见中脑弥散信号偏高;同日,电解质化验提示 Na 126mmom/L
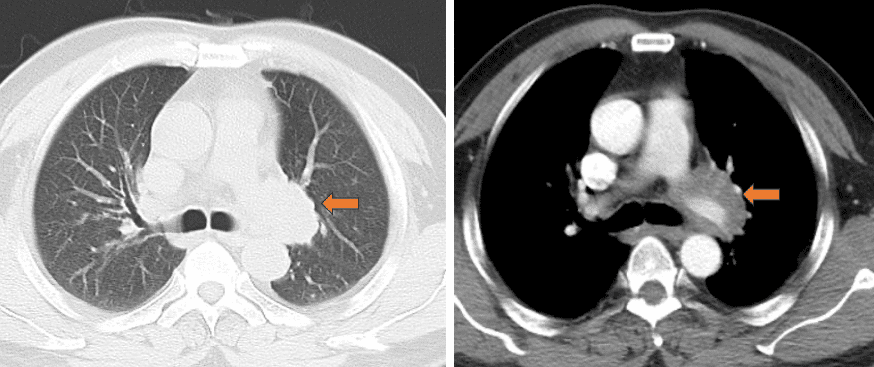
胸部CT(2017-05-10 我院)示 左肺门占位 ,考虑恶性可能性大,建议支气管镜检查;纵隔淋巴结肿大;双侧胸膜局限性增厚、钙化。
胸9-腰1椎体:右骶骼关节轻度浓聚灶,建议定期复查。双膝关书浓聚灶,请结合临床考虑。
三、临床印象
渗透性脱髓鞘病变
[note type="flat"]Ps:患者肺部占位,经CT引导下穿刺,病理定性为小细胞肺癌,患者低钠血症,考虑与肺部肿瘤相关。经缓慢补钠后,患者症状改善,自动出院,放弃肿瘤后续治疗。[/note]
评论 (0)