一、病例特点:
- 韩x,中年女性,慢性病程;
- 临床表现为缓慢性记忆力减退;
- 既往有糖尿病、高血压病史,3月前院外就诊发现头颈部动脉多发狭窄,甚至闭塞;
- 辅助检查:颈动脉+椎动脉+锁骨下动脉超声:颈动脉硬化并斑块形成、双侧颈内动脉起始段异常所见 考虑闭塞结合临床。脑血管超声TCD:双侧颈内动脉起始闭塞?双侧眼动脉频谱形态颅内化,考虑颈外动脉向颈内动脉供血?基底动脉考虑代偿性血流速度增快。请结合临床,必要时进一步检查。
- 神经查体:神清语利,精神一般,近记忆力减退;颅神经查体阴性;四肢肌力4+级,肌张力正常。双侧肢体浅深感觉未见异常。肢体共济运动无异常。
二、神经影像

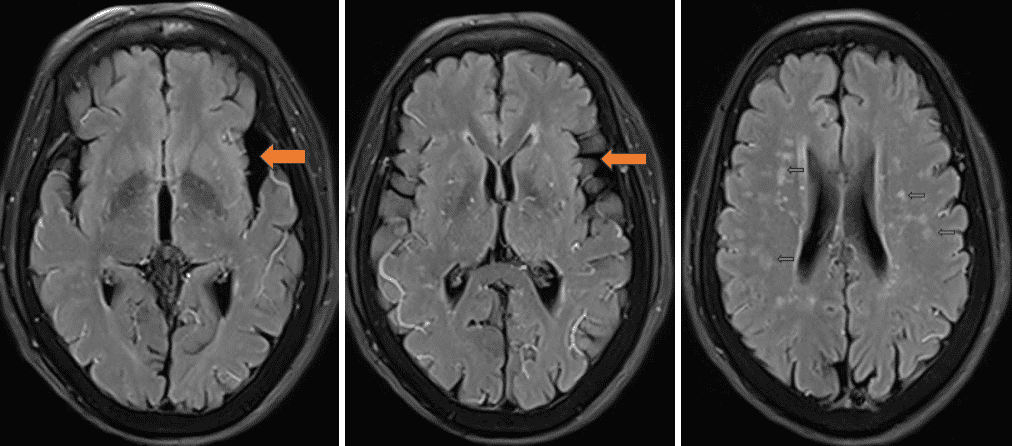
头MR(Flair序列 2023-11-29)可见双侧颞叶萎缩,以左侧为重;双侧侧脑室周围皮层下白质区域可见多发缺血灶及腔隙性梗死灶;

头MRA提示双侧大脑前、大脑中及左侧大脑后动脉显影不清,颅内大量烟雾血管生成;
三、临床印象
烟雾病(moyamoya Disease)
Ps:患者入院糖尿病科,我科会诊建议行全脑血管造影术检查,并积极排查甲状腺功能、血管炎抗体谱及炎症等项目!
评论 (0)