一、病例特点
- 患者成年男性,急性发病;
- 临床表现为发作性肢体抽搐伴意识障碍;
- 6年前因抽搐发作在天津市儿童医院诊断为癫痫,随后转诊于北京儿童医院等上级医院,考虑为“线粒体脑病”,院外服用抗癫痫药物治疗;无难产及高热惊厥史,儿童阶段身体及智力发育与同龄人相当;
- 查体:T:36.2℃ P:110次/分 R呼吸:26次/分 BP血压:123/86mmHg,中昏迷,双侧瞳孔等大正圆,直径约3.0mm,直间接对光反射迟钝,四肢肌力查体不能配合,四肢肌张力减低,双侧病理征阴性,余查体不配合。
- 辅助检查:(2022.1.29我院)全脑薄扫+MRA+海马平扫+增强:海马MRI平扫未见异常;双侧顶枕叶异常信号,考虑脑炎可能;颅脑MRA未见明显异常。
乳酸:12.56mmol/L,↑
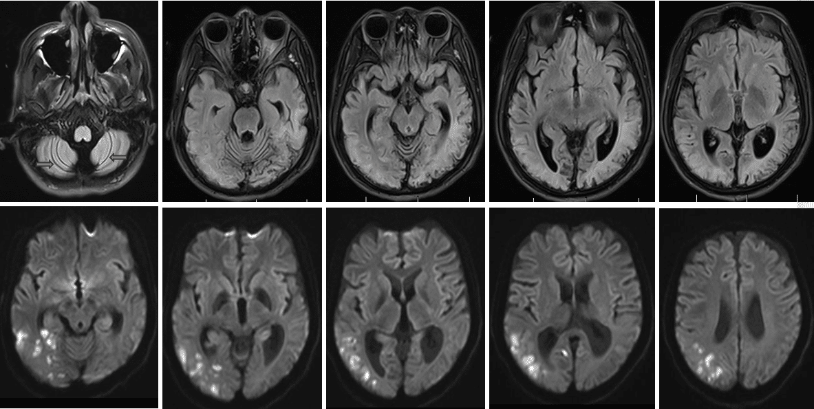
二、神经影像

图1 ,头MR(Flair及DWI序列 2023-8-12)提示双侧小脑脑沟增深,与18岁成人脑组织影像不符;另外,弥散像可见右侧颞顶枕叶点片状稍高信号影;乳酸:12.56mmol/L,↑;

图2,为完整血管病MR检查序列(包含T1、T2、Flair、DWI、ADC及MRA),提示颅内多发片状长T1长T2信号影,局部皮质见线条状稍短T1信号,双侧颞顶枕叶为著,局部双侧侧脑室旁见对称性斑片状稍长T1长T2信号灶,边界模糊。

图3,磁共振波谱分析(MRS):感兴趣区NAA峰减低,Cho峰减低,在1.33出现高耸倒置Lac峰。
三、临床印象
线粒体脑肌病伴乳酸血症和卒中样发作(MELAS)
评论 (0)