一、病例特点:
- 患者中年男性,急性发病;
- 临床表现为意识水平下降伴认知减退、情感异常、吞咽障碍及二便失禁;
- 既往曾行股骨头置换术,留有左下肢活动欠灵活;吸烟史30年,平均约20支/日,已戒烟1周;饮酒史30年,平均约半斤/日,已戒1周。
- 专科查体:意识模糊,言语稍笨拙,双双眼左视时可见水平粗大眼震,双眼外展均受限,右侧肢体肌力Ⅲ+级,右侧巴氏征阳性,脑膜刺激征阴性,余查体不配合。
- 辅助检查:
肝肾功能+电解质:总蛋白:63.9g/L,↓;白蛋白(溴甲酚绿法):30.1g/L,↓; 白球比:0.9,↓; 丙氨酸氨基转移酶:113U/L,↑;天冬氨酸氨基转移酶:178U/L,↑;钠:133mmol/L,↓; 氯:98.0mmol/L,↓; 镁:0.74mmol/L,↓;血常规:白细胞计数:3.39×10^9/L,↓;红细胞计数:2.81×10^12/L,↓; 血红蛋白量:110g/L,↓; 红细胞比积:0.310,↓;平均红细胞体积:111.4fL,↑; 平均红细胞血红蛋白量:39.10pg,↑; 红细胞分布宽度SD:56.7fL,↑;血小板计数:93×10^9/L,↓维生素B12:>1476pmol/L,↑; 叶酸:5.07nmol/L,↓;贫血六项:铁蛋白:>2000μg/L,↑;转铁蛋白:1.97g/L,↓; 血清总铁结合力:42.40μmol/L,↓; 铁:8.8μmol/L,↓。
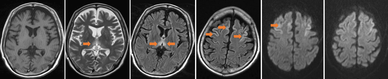
二、神经影像

头MR(2024-3-17) :双侧丘脑及双侧额叶皮层见多发对称性长T1长T2信号,FLAIR像为高信号,DWI上病变呈高信号影,ADC上病变呈等信号影。 影像结果:双侧丘脑及双侧额叶皮层对称性异常信号,建议进一步检查。
头MRS(2024-3-26):2.02ppmNAA 峰正常(NAA/Cr<1),3.20ppm胆碱峰(Cho)轻度上升(Cho/Cr>1),2.4ppm谷氨酸复合物峰(β,γ-Glx)、3.05ppm肌酸峰(Cr)、3.90ppmCr的第二峰均可明显分辨,未见明显异常。综合表现为:Cho/Cr上升。MRS示双侧丘脑病变区Cho/Cr轻度上升,请结合临床。
三、临床诊断:
Wernick 脑病
典型的影像学表现,结合临床像诊断并不困难!