一、病例简介
- 患者青年女性,急性病程;
- 临床表现为发病前起有感染症状,之后出现认知障碍及局灶性神经功能缺损症状;
- 既往体健;
- 查体:神志欠清,言语交流困难,表情呆滞,构音不清,口角流涎,颈部有所抵抗。Romberg Sign(+),直线行走不稳。
- 血液化验:呼吸道病源谱:抗流感病毒B型 IgM(±);血常规:WBC 10.34x10^9/L,NEU% 92.3;甲状腺功能:FT3 2.9pmol/L,T3 0.89nmol/L,TSH 0.08mIU/L;呼吸道病源谱:抗流感病毒抗体IgM(±);
- 腰椎穿刺术及脑脊液化验:CSF常规、特殊染色图片(抗酸&墨汁)及免疫球蛋白阴性;CSF生化:葡萄糖 4.78mmol/L;
- 自身免疫性脑炎20项(血&脑脊液 外检海斯特)结果为阴性;
二、神经影像

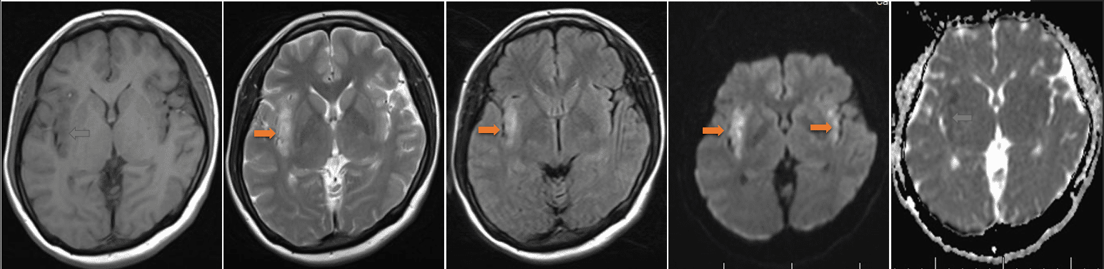
头MR(2925-12-12 我院) :序列依次为T1、T2、Flair、DWI及ADC,双侧导叶脑皮层及皮层下可见长T1、长T2、Flair高信号影,DWI呈高信号,ADC信号歼敌,右侧更为明显。 影像诊断 :双侧岛叶脑皮层及皮层下病变,考虑脑炎可能性大,请结合临床病史。
诊疗方案:患者本次发布以精神行为及认知改变为主要临床表现,结合入院所查核磁神经影像,初步考虑自身免疫性脑炎诊断。给予甲泼尼龙琥珀酸钠、静注人免疫球蛋白及阿昔洛韦等免疫调节及抗病毒治疗,患者症状在2天后有明显减轻。
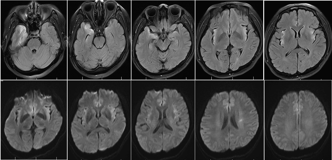
复查头MR(2025-12-30 我院) :左侧颞极、海马、双侧岛叶额叶可见不规则片状或条状长T1、长T2信号影。 影像诊断:双侧颞叶、额叶脑沟走行病变,符合脑炎诊断。
三、临床印象
免疫标记阴性的自身免疫性脑炎
PS:经住院治疗,患者认知及行为恢复正常,但稍舌体味觉略有异常。对比说住院期间神经影像变化,仍需日后随访以观察病情变化。
四、心情驿站
风雨中的诺言--金钰儿
在风中的我想你念你
让我对你爱的痴心塌地
伤透的心 终需别离
凝望你的身影怎么忘记
在雨中的我想你恨你
恨你给我无数心痛滋味
要经过多少悲欢散聚
才能放过自己 不再想起
无尽空虚 愁绪难掩
......
病人也是幸运的,有的自免脑预后不良
病情向愈,病人满意和真诚的笑容就是对医疗辛苦付出的最大肯定与安慰