一、病例特点
- 患者张x,老年女性,急性病程;
- 临床表现为突发意识障碍,发病环境有燃煤气味;
- 既往脑梗死病史20余年,遗留言语欠清,右手活动欠灵活,院外口服药物不详。高血压病史10余年,血压最高状况不详,降压方案子女未能提供。
- 查体:T:36.3℃ P:75次/分 R呼吸:18次/分 BP血压:130/90mmHg 昏睡-浅昏迷状,疼痛刺激可睁眼,查体不配合,两侧瞳孔等大等圆,直径约3mm,光反射存在。四肢肌力肌张力查体不配合,四肢腱反射对称正常引出,右侧巴氏征阳性,余查体不配合。NIHSS评分:20分,GCS评分6分,mRS评分:5分。
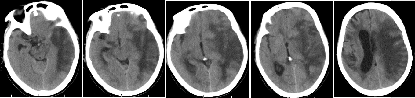
- 辅助检查:辅助检查:头CT(2025-1-10 肃宁县人民医院 CT号:00320016):左侧额颞顶叶脑梗死;脑白质稀疏、脑萎缩;双侧上颌窦、筛窦炎;胸部CT(2025-1-10 肃宁县人民医院 Ct号:00320016):右肺上叶肺大泡,右肺下叶膨胀不良;左肺下叶粟粒结节,考虑慢性炎性肉芽肿可能。颈部血管超声:颈动脉内膜中层增厚伴斑块形成;左侧颈内动脉起始段斑块形成致管腔狭窄70-99%;颈内静脉未见明显异常。心脏超声:主动脉瓣返流(轻度),左室舒张功能减低。双下肢静脉超声:未见明显异常。凝血(2025-1-09 肃宁县人民医院):PT、INR、APTT、FIB及TT均在正常范围。快速血气分析(2025-1-09 肃宁县人民医院):FCOHb 21.5%↑,Glu 9.0mmol/L; 生化:ALP 39U/L,ALB 38.9g/L,Cr 97umol/L,UA 391umol/L。
二、神经影像

头MR回报(2025-1-13 影像序列上图已标注):左侧大脑半球急性脑梗塞,基底节区T1高信号,建议CT检查除外出血;左侧侧脑室受压变窄,中线结构右偏;颅内多发梗塞灶,部分软化灶形成;双侧脑白质缺血脱髓鞘改变。左侧大脑中动脉闭塞;双侧大脑前动脉、右侧大脑中动脉、双侧大脑后动脉多发狭窄。

头CT(2025-1-18):左侧大脑半球脑梗死;左侧侧脑室受压,中线结构稍右侧移位;颅内多发脑梗死、缺血灶,部分软化灶。三、临床印象
1、急性大面积脑梗死(左侧大脑中动脉闭塞)
2、一氧化碳中毒性脑病不除外
PS后记:一线接手病人,第一印象考虑一氧化碳中毒性脑病诊断,脑海中闪现高压氧舱治疗方案。随着神经影像检查深入,颅内大面积病灶分布区与LMCA相符,且患者意识状态改变与皮层及皮层下损伤、颅内压增高导致中线移位均有直接关系。至于,CO中毒因素权重放在末位。按照急性脑血管病联合脱水治疗,患者意识状态改善。目前上肢肌力在疼痛刺激下可达2级,下肢肌力约2+级,理解力有所恢复,但言语表达尚需时间。
四、心情驿站
生活败给无知的理想--司徒兰芳
要不是为了碎银奔忙
谁愿意把泥土藏进行囊
漂泊流浪换不回想要的风光
却被生活压断了肩膀
要不是为了父母安康
谁愿意把故乡当他乡
大醉了一场
解不开心中惆怅
却让现实教训了一场
生活败给无知的理想
时间就是生命,条件所限部分病例错过最佳诊疗时机