一、病例资料
- 患者李x,老年男性,急性起病;
- 临床表现为突发言语不清伴偏侧肢体活动障碍;
- 既往曾下肢湿疹病史,院外口服药物治疗,具体方案不详;烟酒史约50年;否认高血压、刚冠心病及糖尿病病史;
- 母亲生前有冠心病病史,兄弟姐妹5人,其中一人死于胰腺癌,2人有糖尿病病史;
- 专科查体:T: 35.8℃ P: 80次/分 R: 18次/分 BP:178/86(左)166/72mmHg(右) mmHg, 神志清楚,不完全运动性失语,情感反应可。颅神经查体阴性。颈软,无明显抵抗。右侧肢体肌力5级,左侧肢体肌力1级,双侧肢体感觉查体患者不配合。左侧巴氏征阳性。NIHSS评分:8分(上肢运动3分、下肢运动3分,言语2分),发病前mRs评分:0分,洼田饮水试验:1级,格拉斯哥评分:15分。
辅助检查:
急查血常规(20250709): 幼稚细胞绝对值 0.14 x 10^9/L ↑,★红细胞计数 4.10 x 10^12/L ↓ 。 急查凝血5项(20250709): D-二聚体 0.46 mg/L(FEU)。 急查肝功能+心肌酶谱+肾功能+急查电解质(20250709): ★白蛋白(溴甲酚绿法) 38.3 ↓ g/L,★丙氨酸氨基转移酶 8 U/L ↓,★天冬氨酸氨基转移酶 12 U/L ↓, ★钠 135 ↓ mmol/L。 心电图:窦性心律 大致正常。二、神经影像

头CT(2025-7-9 7:40 急诊):脑内多发脑梗塞;双侧缺血性脱髓鞘改变;老年脑改变;副鼻窦炎症。
💊 患者体重60kg,发病处于静脉溶栓窗口期内,经排查无溶栓禁忌症,给予替奈普酶15mg稀释后静脉推注,DNT:40分钟。

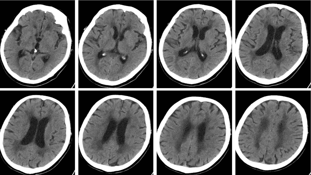
头DWI(2025-7-9 8:35 本院)序列见右侧侧脑室旁弥散信号异常,ADC序列相应部位呈低信号改变;Flair序列可见侧脑室前角、后角及基底节区可见片状缺血脱髓鞘改变,提示皮层下白质疏松;大脑皮层脑沟变深,侧脑室角变圆钝,符合老年性脑改变。

头颈CTA(2025-7-9 9:02 本院):双侧SCA混合板块、中度狭窄;LCCA其实段钙化斑、轻度狭窄;LICA C1段中度狭窄、C4段轻度狭窄;RICA C1 & C4段中度狭窄;LVA V1段中度狭窄、V2~V4段轻度狭窄;LMCA M1&M2段轻度狭窄;LPCA P2段重度狭窄;RPcoA动脉瘤,直径约0.45cm。

CTP(2025-7-9 09:02 本院):序列依次为CBF、CBV、MTT、TTP、TMAX,所见双侧大脑半球颜色标记基本对称,未见明显差异。
🚸 患者溶栓后肢体肌力改善,可达3+级,结合多模影像检查,患者责任病灶在右侧侧脑室旁,血管定位在脉络膜前动脉,病情进展风险高,暂无介入取栓或桥接指证。
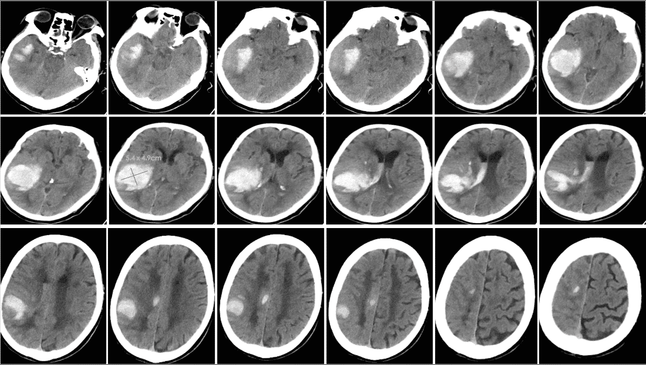
🌗 中午患者病情变化,出现烦躁,坐立不安,撤出尿管后症状无缓解,给予地西泮镇静后复查头CT变化!

头CT(2025-7-9 13:40 本院)提示右侧颞叶、基底节区、顶叶及额叶高密度影,且破入侧脑室,考虑静脉溶栓后出血转化P2型。
⏰ 基于多田公式,粗测出血量>75ml,联系神经外科,建议手术,鉴于颅内存在动脉瘤,风险极高,家属拒绝手术方案。内科启动甘露醇联合利尿剂脱水、氨甲磺酸止血治疗,积极预防及治疗并发症。

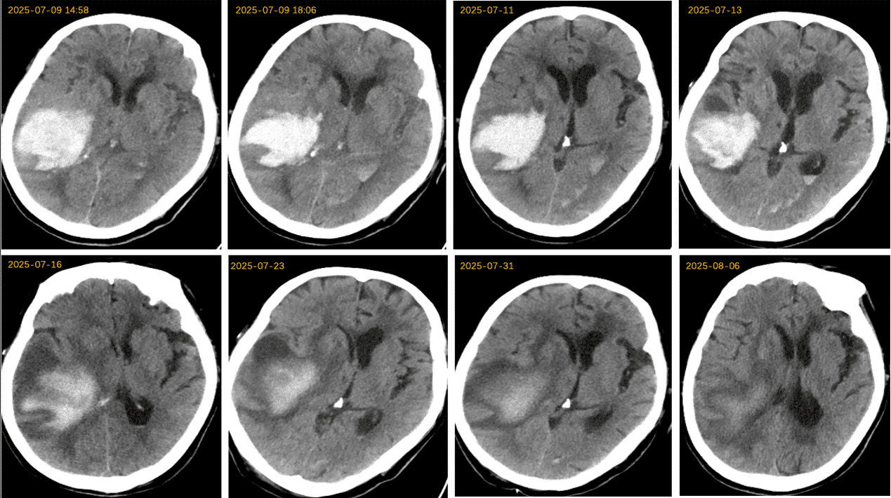
动态观测CT变化,颅内出血及水肿情况经历 起病⇢进展⇢高峰⇢消退 动态变化,患者意识由昏迷逐渐转为嗜睡状态。三、临床诊断
基底节脑梗死静脉溶栓出血转化

PS:纵然国内外几宗大项临床寻证医学研究提示替奈普酶安全性较阿替普酶更优,但临床用药,尤其是高龄人群不容轻视。复盘患者出血原因,考虑如下:
其一,患者76y,老年患者使用溶栓药物本身存在较高出血风险;
其二,患者虽否认高血压病史,但卒中病房发现双上肢血压均偏高,当时血压虽符合溶栓条件,但是否压低血压能否降低溶栓出血转化风险仍存在疑虑;
其三、患者神经影像提示脑白质疏松,这也是老年人出现出血转化危险因素之一。
溶栓后出血转化尤其在老年人当中难以避免,谨慎选择病例,认真排查禁忌便好
病人出血量很大,不知道生死如何呀?
站长溶栓前后影像评价很全面,👍
每次遇到出血转化都特别揪心,医疗毕竟始终存在不确定性