一、病例特点:
- 患者青年男性,急性起病,明确外伤史;
- 临床表现为意识障碍、多发软组织损伤;
- 昏迷,双侧瞳孔左:右=4.5mm:3mm,对光反射存在,双侧Babinski Sign(-),余查体不能配合;
- 既往体健;
二、神经影像

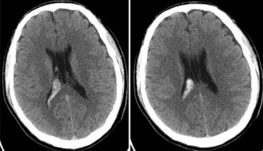
头CT(2014-12-29):见右侧侧脑室出血,可见第5、6脑室。

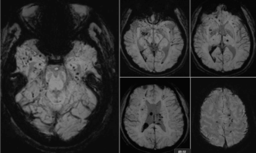
SWI(2014-12-30):双侧小脑、大脑实质内及右侧侧脑室后角可见多发点状、片状低信号。
三、临床印象
弥漫性轴索损伤

头CT(2014-12-29):见右侧侧脑室出血,可见第5、6脑室。

SWI(2014-12-30):双侧小脑、大脑实质内及右侧侧脑室后角可见多发点状、片状低信号。
弥漫性轴索损伤
评论 (0)