一、病例特点
- 患者青年男性,慢性进展性病程;
- 临床表现为性功能伴小便不利、体位性低血压,逐渐累及行走不稳及呼吸困难;
- 既往无重大病史可载,家族史无异常;
- 专科查体:神志清楚,构音不清,言语对答准确。双肺呼吸音粗,中上肺可闻及干啰音,偶可闻及痰鸣音,心率:109次/分,律齐,各瓣膜听诊区未闻及杂音,膀胱区膨隆,尿道口可见白色粘稠分泌物,双下肢无水肿。双上肢肌力5-级,肌张力可;双下肢肌力2级,肌张力略高。双侧肢体浅、深感觉可,双侧巴氏征阳性。
- 辅助检查:急查:血常规:白细胞:11.87x10^9/L、中性粒细胞百分比:80.70%、淋巴细胞百分比:9.70%、嗜酸性粒细胞百分比:0%、中性粒细胞绝对值:9.58x10^9/L、单核细胞绝对值:1.12x10^9/L、嗜酸性粒细胞绝对值:0x10^9/L、红细胞:3.71x10^12/L、血红蛋白浓度:114g/L、红细胞压积:0.340、平均血小板体积:8.5fl,余项正常;超敏C反应蛋白:34.60 mg/L。
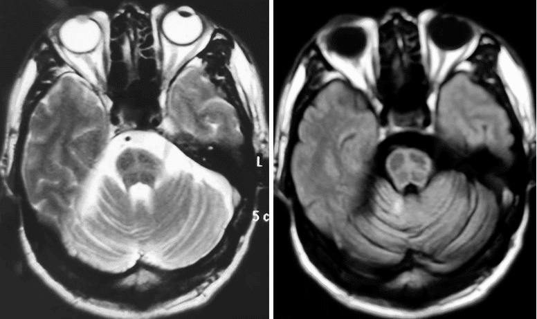
二、神经影像

头MRI(2015-10-19 依次为T2、Flair序列)可见桥脑萎缩,已出现“十字征”影像改变。
三、临床印象
多系统萎缩(MSA)
Ps:患者连续2年于我可就诊,给予丁苯酞、静脉营养支持、美多芭及抗炎等综合治疗,病情仍缓慢进展,最终死于肺部感染、营养障碍及呼吸衰竭。
评论 (0)