一、病例特点
- 患者毕x,女性儿童,急性发病;
- 临床表现为视物重影伴右侧周围性面神经麻痹及头晕;
- 既往体健,近期有病毒感染史;
- 查体:神清语利,双侧瞳孔等大等圆,对光反射灵敏,右眼外展受限,视物重影,伴随水平加旋转眼震,右侧鼻唇沟、额纹变浅,右眼闭合无力,右侧口角歪斜,伸舌尚居中,余颅神经阴性,颈软无抵抗。四肢肌力5级,肌张力可,深浅感觉未见异常,双侧巴氏征阴性。
- 辅助检查:头部CT阅片未见明显占位及出血,鼻窦CT阅片可见鼻窦炎症。腰椎穿刺术:脑脊液无色透明,测压力150mmH2O,CSF常规、染色及免疫正常;神经节苷酯抗体检测,提示抗
GQ1b抗体、抗GT1b抗体阳性.
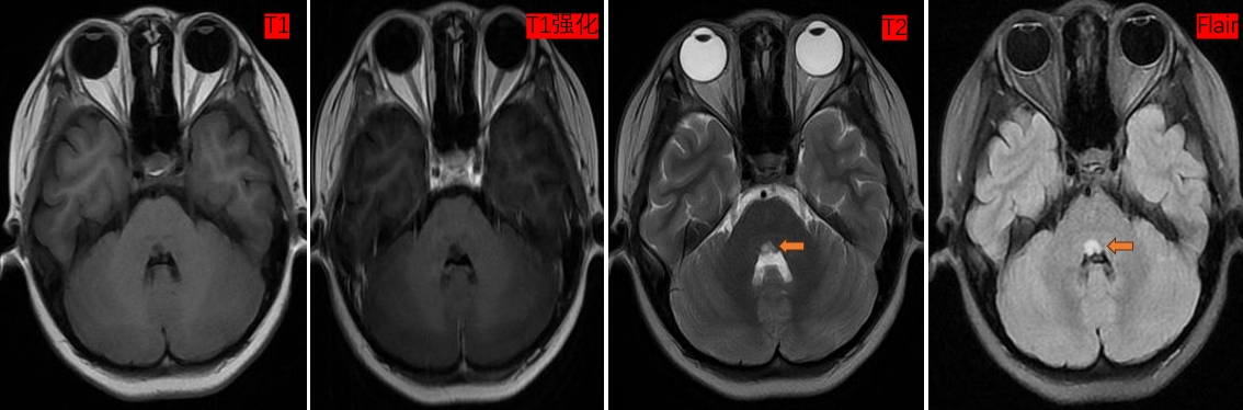
二、神经影像

头MR(2023-11-07)提示第四脑室上方可见团块状信号影,T1程低信号、T2序列及Flair呈高信号,T1增强序列未见强化效应。
三、临床印象
抗体介导的脑干脑炎
评论 (0)