一、病例特点
- 患者中年女性,急性起病;
- 临床表现为意识水平下降伴肢体无力;
- 既往有气胸病史,曾行胸腔闭式引流术治疗,链霉素过敏史;
- 查体:血压188/100mmHg,心率70次/分,SPO2:98%,呼吸18次/分,昏睡,呼之可睁眼,言语不能,双侧瞳孔等大等圆,直径约2.5mm,对光反射灵敏,眼球活动不配合,右上肢肌力0级,余肢体肌力3级,四肢肌张力减低,四肢腱反射对称存在,双侧巴氏征阳性,余查体不配合。
- 辅助检查:胸部CT+脊柱CT+腹部CT(2023-10-23 我院):胸12椎体压缩骨折;腰椎退行性改变;骶尾椎CT扫描未见明显异常;考虑右侧第6、左侧第11肋骨骨折,建议外伤4周后复查;右侧第9肋骨局部骨质密度增高;胸1椎体骨质密度不均匀减低,不除外转移;左肺门增大,肺门区支气管狭窄,左肺下叶占位,建议支气管镜检查;左肺炎性病变;双肺多发结节,考虑转移;纵隔内、左锁骨下及左腋窝多发肿大淋巴结;左侧胸腔积液;肝右叶稍低密度影,左侧肾上腺占位,不除外转移,建议增强检查;腹膜后多发肿大淋巴结;脾脏钙化灶。
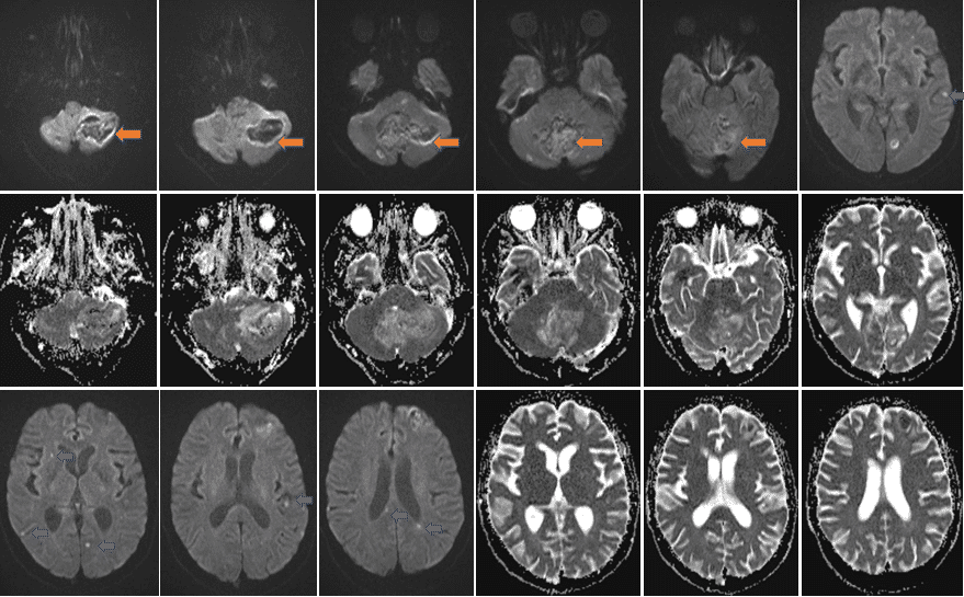
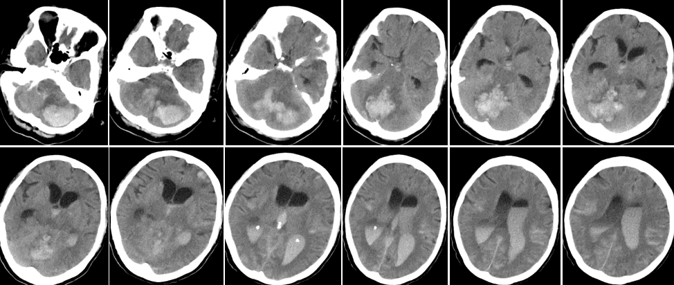
二、神经影像

头MR(2023-11-06上图为DWI及ADC序列)双侧小脑、蚓部及左侧额叶不规则片状混杂信号;双侧颞叶、左侧枕叶及胼胝体压部可见弥散信号增高。
病人转科时考虑急性缺血性脑血管病,rtpA溶栓治疗在脑海中一闪而过,头MR结果很快让我打消了溶栓治疗念头!头MR混杂信号,多提示出血可能,进而完善头CT平扫!

头CT(2023-11-6)见双侧小脑团片状高密度影,相应小脑及脑干组织密度减低。双侧侧脑室、第三脑室、第四脑室见较多高密度影。脑池、脑沟内见线杨高密度影。双侧额叶、右侧顶叶皮层下见多发结节样高密度影,大者直径约1.3cm,边缘模糊。影像结论颅内多发转移瘤、瘤卒中可能,伴脑室积血、蛛网膜下腔出血。
三、临床印象
颅内多发转移瘤伴出血
评论 (0)