一、病例特点
- 患者青年男性,急性发作性起病;
- 临床表现为发作性意识障碍伴肢体抽搐;
- 既往史:7月前因腰痛就诊于我院,脊柱MR发现胸11、腰1、腰5椎体及骶椎多发异常信号。6月前患者病情进展,出现双下肢软瘫,伴躯干感觉障碍及二便异常,于解放军总医院第一医学中心行CT引导下椎旁肿物穿刺活检,病理提示小蓝圆细胞肿瘤,考虑恶性。行氯化锶治疗。
- 辅助检查:左侧颈部肿物穿刺病理活检:免疫组化:Vimentin(+),CD138(+),CD38(+),Lambda(+),Kappa(少许细胞+),CD3(局灶+),Ki67(+80-90%),Cyclin-D1(+),CK8/18(-),P40(-),SYN(-),S-100(-),Desmin(-),SMA(-),CD117(-),HMB45(-),CD20(-),LCA(-),CD79a(-),考虑为造血系统来源低分化恶性肿瘤,间变性浆细胞骨髓瘤或浆母细胞淋巴瘤均不能除外。
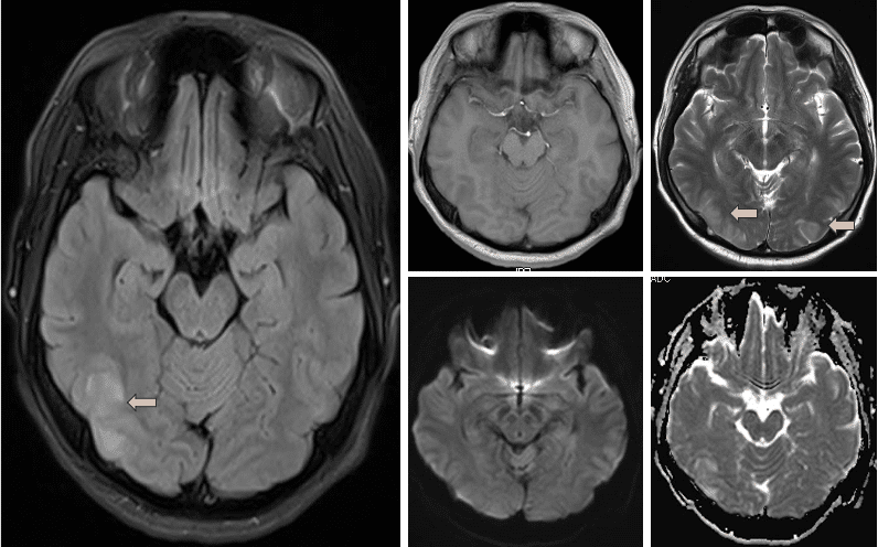
二、神经影像

头MR(2023-11-08)左一为Flair序列,右四图自左向右、由上而下依次为T1、T2、DWI及ADC序列,双侧顶枕叶脑皮质可见稍长T1WI、T2WI信号,Flair呈高信号影,增强未见异常强化影。
三、临床印象
伴意识障碍的强直阵挛发作
Ps:癫痫发作部分人群在神经影像上可出现皮层信号异常,往往提示局部水肿形成,数日后可逐渐消退。影像学上容易于脑梗死患者混淆,注意结合病史鉴别。
评论 (0)