一、病例特点
- 患者老年女性,慢性缓慢进展性病程;
- 临床表现为健忘伴睡眠增多;
- 院外进食不佳,平素间断口服“奥美拉唑”治疗;
- 查体: BP血压:140/90
mmHg神清语利,斑片状认知障碍,记忆力减退,反应力、定向力正常。四肢肌力V-级,肌张力正常。四肢腱反射(++),双侧Babinski,sign(-)性。感觉系统查体未见明显异常。共济系统查体稳准。颈软无抵抗。 - 辅助检查:生化:★肌酐(酶法):86μmol/L,↑★总胆固醇:6.80mmol/L,↑; ★低密度脂蛋白胆固醇:4.18mmol/L,↑;胸部CT示:左肺中叶及左肺上叶舌段条索;双肺散在小结节;双肺气肿;纵隔内稍大淋巴结。腹部CT+盆腔CT示未见明显异常。心电图示:1.窦性心律;2.逆钟向转位。
二、神经影像

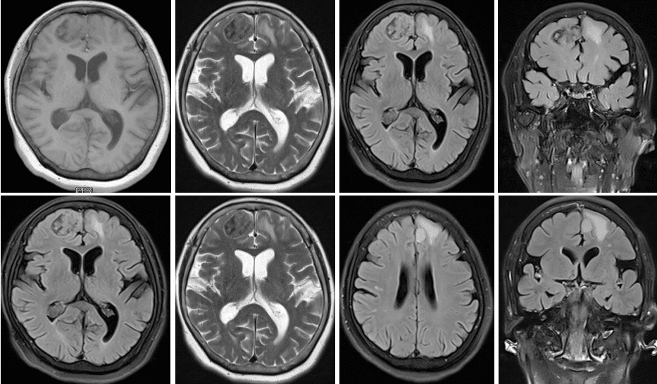
头MRI(2023-11-22)右侧额叶可见团片状等低混杂信号影,边界较清,大小约为3.0x2.2cm。左侧额部镰旁可见椭圆形稍长T1稍长T2信号结节影,FLAIR呈高信号,边界较清,大小约为1.3x1.0cm,周围可见斑片状水肿信号影。

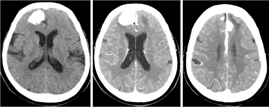
头CT平扫+增强(2024-11-26)右侧额部可见一椭圆形高密度影,截面约3.3×2.3cm,增强扫描局部可见强化。左侧额部可见一类圆形明显强化影,直径约1.6cm。脑室及脑池系统无扩张。双侧脑沟裂无增宽、加深,中线结构居中。

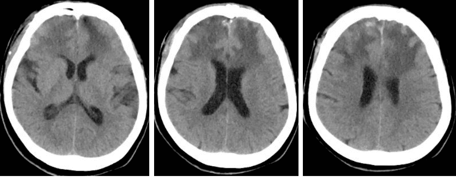
头CT(术后 2023-12-18)颅内占位切除术后,额骨见骨瓣影,额部头皮软组织肿胀。双额叶见斑片状不均匀密度影,边界模糊,呈高低混杂密度,大脑镰及额叶部分脑沟密度增高。脑室及脑池系统无扩张。双侧脑沟裂无增宽、加深,中线结构居中。
三、临床印象
双侧额叶脑膜瘤
评论 (0)