一、病例特点
- 患者中年男性,急性起病;
- 临床表现为发作性四肢抽搐,上肢屈曲、下肢伸直,小便失禁,可见唇周泡沫痕迹;
- 神经查体:神志转清,精神欠佳,简单属性问题对答切题。肢体可完成指令动作,双侧巴氏征阴性。
- 患者幼时曾有
高热惊厥发作1次;既往有高血压、冠心病病史; - 化验检查:生化:HCY 17.5umol/L,Apoa 558mg/L;肌钙蛋白T 26.88pg/ml;凝血5项:D2聚体 0.96mg/L;
二、神经影像

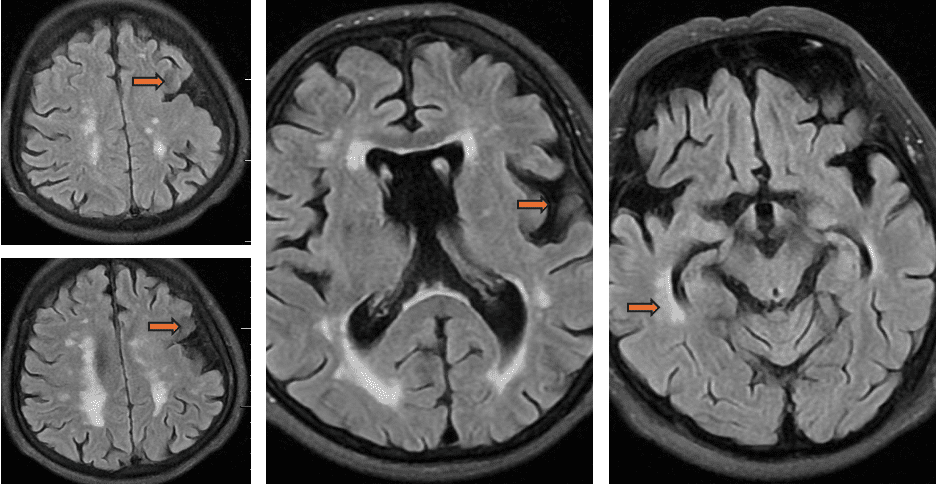
头MRI(2024-4-30 Flair序列):左上下图提示左侧额叶组织结构异常,考虑灰质异位;中图可见双侧侧脑室周围可见缺血脱髓鞘改变;双侧外侧裂、额叶皮层萎缩明显;右图可见双侧海马外侧边缘稍高信号影。
三、临床印象
癫性发作
评论 (0)