一、病例特点
- 患者老年女性,急性发病;
- 临床表现为反复发作性头晕,伴视觉错觉及恶心、呕吐、汗出等自主神经症状;
- 既往史:冠状动脉粥样硬化性心脏病史5年,曾行支架植入治疗,院外服用阿司匹林、阿托伐他汀等药物;
- 专科查体:神清语利,精神偏差,双眼可见粗大水平眼震,双手指鼻试验、快速轮替动作可,Romberg
Sign(+),宽基底步态,直线行走不能;
二、神经影像

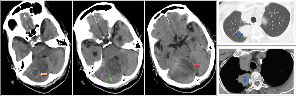
- 头CT(2024-5-8 我院)显示右侧小脑可见片状低密度影,其中类圆形低密度病灶周围可见高密度环状改变,建议增强扫描以除外占位性病变;胸部CT(2024-5-9 我院)提示右侧肺门较大占位,考虑肺癌,检验穿刺活检!
三、临床诊断
头晕(小脑传导通路异常,肺癌伴右侧小脑肿瘤转移)
神经内科和肿瘤经常纠缠在一起,更加突出神经影像和CSF检测重要性