一、病例特点
- 患者男性,68y,急性起病;
- 临床表现为进行性反应迟钝伴失语、进食困难及小便失禁;
- 专科查体:神志欠清,混合性失语,反应迟钝,言语交流困难。颈软无抵抗,布氏征、柯氏征阴性。示意肢体可抬举,四肢腱反射(++),双侧Babinski sign(-)。肢体感觉及共济查体欠合作。
- 既往史:发现脑梗死、脑动脉狭窄数年,未规范用药。半月前突发认知障碍,发病环境有炭火情形,血气分析提示碳氧血红蛋白显著升高,支持一氧化碳中毒诊断,给予低流量吸氧、脱水、激素、清除氧自由基及脑保护等治疗,病情缓解出院。同期,发现患者心肌损伤伴心律失常,超声提示心肌致密化不全及二尖瓣、三尖瓣反流、血液环境紊乱,治疗一氧化碳中毒后上述异常指标均有明显改善,恢复近正常水平。
- 辅助检查:
碳氧血红蛋白(2024-10-21):17.5%(参考范围 0.2~1.5),生化指标异常见下表:
| 项目 | 10月22 | 10月24 | 11月1日 | 11月25 | 备注 |
|---|---|---|---|---|---|
| 丙氨酸氨基转移酶(U/L) | 60 | 37 | 24 | 20 | 参考范围(9-50) |
| 天冬氨酸氨基转移酶(U/L) | 156 | 111 | 34 | 42 | 参考范围(15-40) |
| 乳酸脱氢酶(U/L) | 403 | 484 | 279 | 212 | 参考范围(120-250) |
| a-羟丁酸脱氢酶(U/L) | 318 | 455 | 240 | 178 | 参考范围(72-182) |
| 肌酸激酶(U/L) | 1028 | 1744 | 268 | 23 | 参考范围(50-310) |
| 肌酸激酶-同工酶(U/L) | 158 | 82 | 20 | 17 | 参考范围(0-24) |
| 尿素(mmol/L) | 10.11 | 9.58 | 10.97 | 11.2 | 参考范围(3.6-9.5) |
肝肾功能+心肌酶+电解质:尿素 42U/L;CRP 17.2umol/L;凝血5项:0.64mg/L;心梗二项:肌红蛋白正常,肌钙蛋白28.67pg/mL;BNP:1125.02pg/mL;血常规:WBC 3.02x10^9/L,NEU# 1.75x10^9/L;(2024年11月份下旬)
二、神经影像

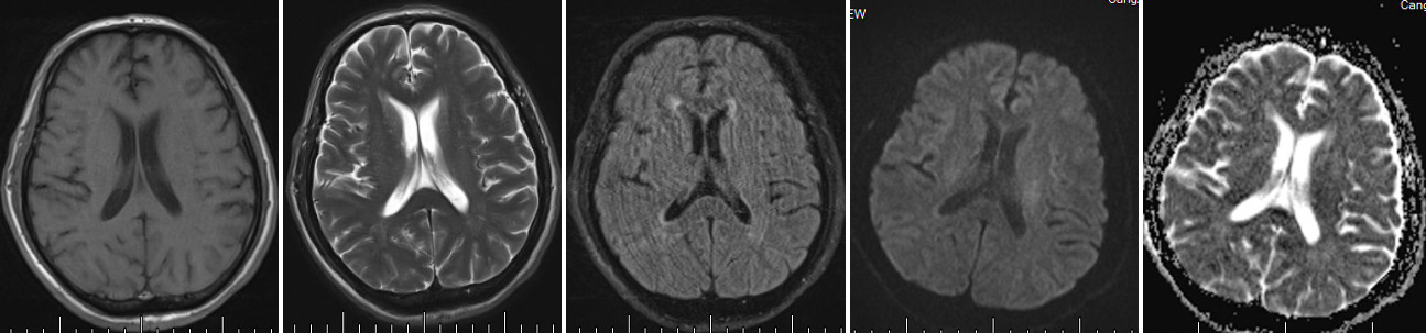
头MR(2024-10-20)左侧放射冠区可见小片状DWI高信号影,ADC信号减低。双侧侧脑室旁可见斑片状T2W及T2Flair稍高信号影,边界模糊。双侧放射冠区、额叶及底结区、脑干、双侧小脑半球多发小片状T2W及T2Fliar高信号影,T1W呈稍低信号。 【影像诊断】 :左侧放射冠区急性脑梗死;双侧脑白质脱髓鞘改变;颅内多发腔隙性脑梗死、缺血灶;双侧筛窦炎、上颌窦炎。
头DWI+MRI(2024-11-25):头DWI可见右侧底结区点状高信号影,ADC歼敌。双侧大脑半球白质区见斑片状高信号影。【影像诊断】:右侧基底节区急性脑梗塞;颅内多发缺血灶、脑梗塞;双侧大脑半球异常信号影,请结合临床。双侧乳突炎。三、临床印象
迟发性脑病
Tips:参照迟发性脑病相关指南,继续给予高压氧舱、依达拉奉右坎醇浓溶液、丁苯酞氯化钠液、甲泼尼龙、注射用比拉西坦等治疗,患者理解力有所改善,偶可清晰言语交流。
非常典型的迟发型脑病案例,神经影像也很Classic,加油站长,支持你!
发生迟发性脑病无疑是不幸的,好多家属等不及病情转归就因各种理由放弃了( ๑´•ω•) "(ㆆᴗㆆ)
好多年没碰到一氧化碳中毒的啦