一、病例特点
- 患者青年女性,急性病程;
- 临床表现为感染后认知功能减退,伴癫痫反复发作;
- 既往史:患者2022年孕检时彩超发现“右侧卵巢肿物”,同年于沧州市人民医院(颐和妇产)行“剖宫产术+右侧卵巢囊肿剥除术”,病理结果提示为成熟型囊性畸胎瘤。
- 查体:神清,精神欠佳,表情淡漠,言语尚流利,简单对答准确,记忆力下降,定向力、计算力可(MMSE评分23分)。颅神经查体阴性,颈软,无抵抗,Kernig Sign,Brudzinski Sign阴性。双侧肢体痛温觉对称存在,深感觉未见异常,四肢肌力5级,四肢肌张力正常,四肢腱反射(2+),闭目难立征阴性,双侧病理征阴性,共济运动尚可。
- 辅助检查:
血液化验结果:
甲功六项:★游离甲状腺素:25.10pmol/L,↑;
呼吸道病原体谱:抗流感病毒A型抗体IgM:阳性(+)。
TORCH十项:抗巨细胞病毒抗体IgG >1000 ↑ AU/mL,抗风疹病毒抗体IgG 71.25 ↑ IU/mL。
抗核抗体谱: 抗核抗体 阳性(+)颗粒型1:100;
女性肿瘤筛查: 胃泌素释放肽前体 20.20 ↓ pg/mL。腰椎穿刺术后脑脊液化验:
脑脊液常规: 无色透明,潘氏试验(-) ,细胞总数 112x10^6/L,有核细胞 27x10^6/L,红细胞 85x10^6/L,单个核细胞(MN) 91 %,非单个核细胞(PMN)9 %。脑脊液生化: 脑脊液蛋白0.13 ↓g/L,余项正常。
墨汁染色、抗酸染色结果阴性。
脑脊液免疫球蛋白未见明显异常。血液&脑脊液免疫Mark(外检)结果:
自身免疫性脑炎自身抗体谱28项(血清):NMDAR(N-甲基-D-天冬氨酸受体)抗体IgG:阳性1:32+。
自身免疫性脑炎自身抗体谱28项(脑脊液):阳性10+ 。
TBA筛查(血清):小脑阳性,海马阳性,大脑皮层阳性。
TBA筛查(脑脊液):小脑阳性,海马阳性,大脑皮层阳性。二、神经影像

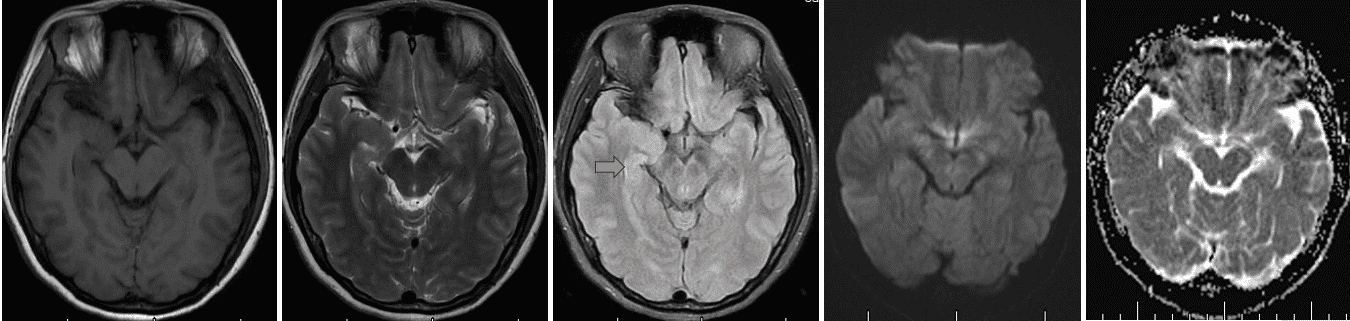
头MR(序列依次为T1、T2、Flair、DWI、MRA)未见异常,隔日复查MR强化,亦未见颅内异常强化灶。 仔细阅片,中脑层面右侧海马组织信号稍有增高
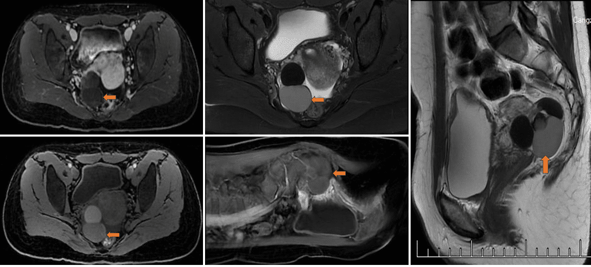
腹腔CT平扫可见子宫右侧可见团块状混杂密度影,其内可见多发类圆形高密度影聚集,病灶范围约为5.4×3.5cm。阑尾增粗,其内可见高密度影。建议完善MR强化检查。
腹腔MR增强:右侧附件区见多发大小不等稍短T1长、短T2信号影,边界清晰,增强扫描分隔样强化,最大截面大小约为3.2cm×4.9cm。子宫前壁凹陷,子宫前壁结合带增厚,左侧附件区形态及信号可。子宫内膜未见明显增厚,膀胱充盈可,壁不厚。双侧髂血管内侧见条状软组织影,增强扫描同静脉强化方式基本一致。盆腔内见液体信号影。右侧附件区占位,考虑为巧克力囊肿。
三、临床诊断
NMDAR介导的自身免疫性脑炎
PS病情转归:住院期间给予激素、静注人免疫球蛋白、抗癫痫&抗精神、营养支持、改善精神症状等综合治疗,患者癫痫得以控制,认知障碍部分改善,尚存一些行为异常。
自免性脑炎恢复时间较长,诊疗过程很是折磨人ཨོཾ
同意楼主所言,此类疾病甚是难缠^O^