一、病例特点
- 高x,老年女性,慢性病程;
- 临床表现为右侧肢体麻木、无力,无反复头痛发作;
- 既往发现颅内动脉瘤20余年,未规范诊治;1月前因右侧肢体麻木、无力于当地医院住院,头MR提示左颞枕叶、左额顶叶亚急性脑梗死,并左颞枕叶少许缺血再灌注损伤。
- 查体:BP:175/98mmHg。神志清楚,言语不利,颅神经阴性。四肢肌力5级,肌张力正常,浅、深感觉未见异常,巴氏征阴性。NIHSS:0分。GCS评分:15分。mRS分级:1级,吞咽功能(洼田饮水):1级。
- 辅助检查:头部MR显示:1、左颞枕叶、左额顶叶亚急性脑梗死,并左颞枕叶少许缺血再灌注损伤;2、脑内多发缺血灶及软化灶;3、鞍区异常信号,与左侧颈内动脉海绵窦-交通段分界不清,大动脉瘤可能,请结合CT及CTA;4、脑动脉硬化改变;5、双侧大脑前动脉A2段、左侧大脑中动脉M1M2段、右侧大脑中动脉M3段、右侧大脑后动脉P1段局限性轻度狭窄。(任丘市人民医院,2023-10-6。)
二、神经影像

CTP显示双侧大脑半球灌注不对称:TMAX图示左侧大脑半球见片状蓝色及浅绿色区域,提示患侧达峰时间延长,AV=7.562s(健侧AV=5.156s);TTP图示左侧大脑半球见片状浅绿色区域,提示患侧达峰时间延长,AV=18.82s(健侧AV=15.19s);MTT图示左侧大脑半球见片状蓝绿色区域,提示患侧血流通过时间延长,AV=10.30s(健侧AV=6.651s);rCBV图示双侧大脑半球伪彩标记基本对称,AV=1.648ml(健侧AV=1.709ml);rCBF图示左侧大脑半球见片状蓝色区域,提示患侧局部脑血流量减少,AV=10.60ml/(100g.min)[健侧AV=19.19ml/(100g.min)]。

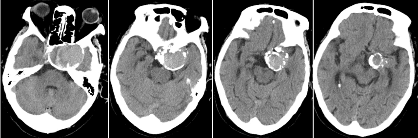
蝶鞍左旁水平见团状高密度影,周围见环形高密度影。

左侧颈内动脉C3段管壁见非钙化斑块,管腔完全闭塞;C5段管壁见钙化斑块,管腔轻度狭窄(0%~29%);C4段动脉瘤,周围见环状钙化,偏右侧见新月形充盈缺损,病灶长径约4.7cm。
三、临床印象
左侧颈内动脉C4段动脉瘤形成,其内伴新月形血栓
四:动脉瘤大小分级:
- ①微小动脉瘤,动脉瘤的直径小于3mm,称微小动脉瘤,若直径小于2mm,则禁忌栓塞介入治疗。
- ②小动脉瘤,直径小于5mm。
- ③中等动脉瘤,直径为6~10mm。
- ④大动脉瘤,直径大于10mm且小于25mm。
- ⑤巨大动脉瘤,直径大于25mm。
评论 (0)